免费电话:400-9961-933
邮箱:info@sabbiotech.com
欢迎光临本站
川博智能体 English
位置: 首页 > 多克隆抗体 > STEAP1 Antibody

STEAP1 Antibody #24565

是否有货: 有货
产品详情

产品名称STEAP1 Antibody

来源种属Rabbit

克隆性Polyclonal

亚型IgG

纯化The antibody was affinity-purified from rabbit antiserum by affinity-chromatography using epitope-specific immunogen.

应用WB;IHC;IF;ELISA

种属反应性Human;Mouse

特异性This STEAP1 antibody does not cross-react with other STEAP proteins.

免疫原描述The antiserum was produced against synthesized peptide derived from human STEAP1.

基因/蛋白名称STEAP1

标记Unconjugated

别名STEAP1 ; PRSS24 ; STEAP ; Metalloreductase STEAP1 ; Six-transmembrane epithelial antigen of prostate 1

数据库入口号Q9UHE8

Uniprot Q9UHE8

Gene ID 26872

计算分子量40 kDa

浓度1mg/ml

配方Liquid in PBS containing 50% glycerol, 0.5% BSA and 0.02% sodium azide.

保存Store at -20℃/1 year

应用详情
WB 1:500-1:2000; IHC 1:100-1:300; ELISA 1:10000; IF 1:50-200
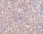
Immunohistochemistry of STEAP1 in human spleen tissue with STEAP1 antibody at 2.5 ug/mL.
Western Blot analysis of various cells using STEAP1 Polyclonal Antibody
Western blot analysis of lysate from A549, using STEAP1 antibody.
The six-transmembrane epithelial antigen of prostate 1 (STEAP1) was the first member of a family of metalloreductases identified as cell-surface antigens in prostate tissue. The normal function of STEAP is still uncertain; unlike other members of the STEAP family, STEAP1 does not promote iron or copper reduction or uptake and lacks the FNO-like reductase domain critical for activity. However, its expression is highly increased in multiple cancer cell lines, including prostate, bladder, colon, and ovarian cancers. Supporting this is evidence that STEAP1 peptides can be used to stimulate CD8+ T cells from healthy donors, enabling them to recognize STEAP1-positive human tumor cells, suggesting that STEAP1 may a potential target for cancer immunotherapy. At least three isoforms of STEAP1 are known to exist.

如果您使用该产品24565发表了文章,请通知我们,让我们可以引用您的文献。

et al,Prognostic Significance of Iron Metabolism Related Genes in Human Lung AdenocarcinomaInCancer Manag ResOn2023 Feb 22byPu Li?#?1,?Xiaoqiong Wu? et al..PMID: 36860893 , (2023),
PMID: 36860893

注释

应用

  • WB免疫印迹
  • IHC免疫组化
  • IF免疫荧光
  • ICC免疫细胞化学
  • FC流式细胞
  • IP免疫沉淀
  • E酶联免疫吸附法
  • DB免疫斑点法
  • ChIP染色质免疫沉淀
  • GICA胶体金免疫层析法
  • NC阴性对照

种属反应性

  • Hu
  • Ms小鼠
  • Rt大鼠
  • Dm果蝇
  • C线虫
  • Mk
  • Rb
  • B
  • D
  • P
  • Hm仓鼠
  • ChHm中国仓鼠
  • Chk
;

联系我们

Location :

南京市高新开发区星火路10号人才大厦C座

Phone :

400-9961-933
025-58868422

Email Address

info@sabbiotech.com