免费电话:400-9961-933
邮箱:info@sabbiotech.com
欢迎光临本站
川博智能体 English
位置: 首页 > 多克隆抗体 > TEM5 Antibody

TEM5 Antibody #24595

是否有货: 有货
产品详情

产品名称TEM5 Antibody

来源种属Rabbit

克隆性Polyclonal

纯化Affinity chromatography purified via peptide column

应用ELISA WB IHC

种属反应性Human;Rat

免疫原类型Peptide

免疫原描述Raised against a 14 amino acid peptide near the center of human TEM5.

基因/蛋白名称TEM5

标记Unconjugated

别名Tumor endothelial marker 5, G protein-coupled receptor 124, GPR124

数据库入口号Q96PE1

Uniprot Q96PE1

浓度1mg/ml

配方Supplied in PBS containing 0.02% sodium azide.

保存Can be stored at -20˚C, stable for one year. As with all antibodies care should be taken to avoid repeated freeze thaw cycles. Antibodies should not be exposed to prolonged high temperatures.

应用详情
Western blot analysis of TEM5 in rat kidney tissue lysate with TEM5 antibody at (A) 2 ug/ml and (B) 4 ug/mL.
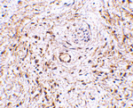
Immunohistochemistry of TEM5 in human bladder tissue with TEM5 antibody at 5 ug/mL.
Tumor endothelial markers (TEMs) are significantly up-regulated during angiogenesis and neoangiogensis that are crucial for the growth of solid tumors. TEMs localized on the cell surface and conserved across species are of particular interest for future development of anti-angiogenic therapies. These include TEMs such as TEM1, TEM5, TEM7 and TEM8. TEM5 is a member of the adhesion family of G protein coupled receptors and is localized on the surface of endothelial cells. TEM5 is a seven-pass transmembrane receptor, unlike TEM1, TEM7 and TEM8 which span the membrane once. TEM5 is abundantly expressed in tumor vessels, heart, placenta, ovary, small intestine, and colon. Proteolytically processed soluble TEM5 mediates endothelial cell survival during angiogenesis by linking integrin to glycosaminoglycans.

如果您使用该产品24595发表了文章,请通知我们,让我们可以引用您的文献。

et al,Multifunctional Inorganic-Nanosheets-Based Nanohydrogel for Periodontal Bone Regeneration via Antibacterial and Anti-Ferroptotic Immunomodulation , (2025),
PMID: 41250788

注释

应用

  • WB免疫印迹
  • IHC免疫组化
  • IF免疫荧光
  • ICC免疫细胞化学
  • FC流式细胞
  • IP免疫沉淀
  • E酶联免疫吸附法
  • DB免疫斑点法
  • ChIP染色质免疫沉淀
  • GICA胶体金免疫层析法
  • NC阴性对照

种属反应性

  • Hu
  • Ms小鼠
  • Rt大鼠
  • Dm果蝇
  • C线虫
  • Mk
  • Rb
  • B
  • D
  • P
  • Hm仓鼠
  • ChHm中国仓鼠
  • Chk
;

联系我们

Location :

南京市高新开发区星火路10号人才大厦C座

Phone :

400-9961-933
025-58868422

Email Address

info@sabbiotech.com