免费电话:400-9961-933
邮箱:info@sabbiotech.com
欢迎光临本站
川博智能体 English
位置: 首页 > 多克隆抗体 > Grik1 Antibody

Grik1 Antibody #24600

是否有货: 有货
产品详情

产品名称Grik1 Antibody

来源种属Rabbit

克隆性Polyclonal

纯化Affinity chromatography purified via peptide column

应用ELISA WB IHC

种属反应性Human;Mouse

免疫原类型Peptide

免疫原描述Raised against a 15 amino acid peptide near the carboxy terminus of the human Grik1.

基因/蛋白名称Grik1

标记Unconjugated

别名Glutamate receptor ionotropic kainate 1, glutamate receptor 5, gluR5, excitatory amino acid receptor 3, eea3

数据库入口号P39086

Uniprot P39086

浓度1mg/ml

配方Supplied in PBS containing 0.02% sodium azide.

保存Can be stored at -20˚C, stable for one year. As with all antibodies care should be taken to avoid repeated freeze thaw cycles. Antibodies should not be exposed to prolonged high temperatures.

应用详情
Western blot analysis of Grik1 in P815 cell lysate with Grik1 antibody at (A) 0.5, (B) 1 and (C) 2 ug/mL.
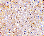
Immunohistochemical staining of human brain tissue using Grik1 antibody at 2.5 ug/mL.
Immunofluorescence of Grik1 in mouse brain tissue with Grik1 Antibodyat 20 μg/mL.
Immunohistochemistry of Grik1 in mouse brain tissue with Grik1 Antibodyat 5 μg/mL.
Glutamate receptors are the predominant excitatory neurotransmitter receptors in the mammalian brain and are activated in a variety of normal neurophysiologic processes. Grik1, also known as glutamate receptor 5, belongs to the kainate family of glutamate receptors, which are composed of four subunits and function as ligand-activated ion channels. Grik1 is expressed in GABAergic interneurons of the hippocampus and are thought to participate in the formation of various subtypes of kainate receptors with Grik2 and KA2. Stimulation of Grik1 leads to intracellular calcium release and activation of protein kinase C. Excessive activation has been associated with psychiatric, neurological and neurodegenerative diseases. Numerous isoforms of Grik1 are known to exist and may be subject to RNA editing within the second transmembrane domain, which is thought to alter the properties of ion flow.

如果您使用该产品24600发表了文章,请通知我们,让我们可以引用您的文献。

et al,PFGA12 ameliorates Hypoxic-Ischemic brain injury by directly regulating PRDX1 and inhibiting ferroptosis , (2025),
PMID: 40921222

注释

应用

  • WB免疫印迹
  • IHC免疫组化
  • IF免疫荧光
  • ICC免疫细胞化学
  • FC流式细胞
  • IP免疫沉淀
  • E酶联免疫吸附法
  • DB免疫斑点法
  • ChIP染色质免疫沉淀
  • GICA胶体金免疫层析法
  • NC阴性对照

种属反应性

  • Hu
  • Ms小鼠
  • Rt大鼠
  • Dm果蝇
  • C线虫
  • Mk
  • Rb
  • B
  • D
  • P
  • Hm仓鼠
  • ChHm中国仓鼠
  • Chk
;

联系我们

Location :

南京市高新开发区星火路10号人才大厦C座

Phone :

400-9961-933
025-58868422

Email Address

info@sabbiotech.com