免费电话:400-9961-933
邮箱:info@sabbiotech.com
欢迎光临本站
川博智能体 English
位置: 首页 > 多克隆抗体 > ZBP1 Antibody

ZBP1 Antibody #24608

是否有货: 有货
产品详情

产品名称ZBP1 Antibody

来源种属Rabbit

克隆性Polyclonal

纯化Affinity chromatography purified via peptide column

应用ELISA WB IHC

种属反应性Human;Mouse;Rat

免疫原类型Peptide

免疫原描述Raised against a 18 amino acid peptide from near the carboxy terminus of human ZBP1.

基因/蛋白名称ZBP1

标记Unconjugated

别名Z-DNA binding protein 1, DLM-1, DAI

Uniprot Q9H171

Gene ID 81030;

浓度1mg/ml

配方Supplied in PBS containing 0.02% sodium azide.

保存Can be stored at -20˚C, stable for one year. As with all antibodies care should be taken to avoid repeated freeze thaw cycles. Antibodies should not be exposed to prolonged high temperatures.

应用详情
Western blot analysis of ZBP1 in mouse small intestine tissue lysate with ZBP1 antibody at (A) 0.5, (B) 1 and (C) 2 ug/mL.
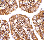
Immunohistochemistry of ZBP1 in human small intestine tissue with ZBP1 antibody at 2.5 ug/mL.

Z-DNA binding protein 1 (ZBP1) belongs to a family of proteins that contain the Zalpha domain which binds specifically to left-handed Z-DNA and Z-RNA. ZBP1 was initially identified as a novel gene that was up-regulated in activated macrophages in mice bearing ascites tumors, suggesting that is may play a role in processes such as host response in neoplasia. More recent reports indicate that the cytosolic ZBP1 has can act like the toll-like receptor TLR9 by detecting cytosolic double-stranded (ds) DNA and trigger induction of type I interferon and other innate immune responses. It is thought that the binding of ZBP1 to dsDNA enhances its association with innate immune response proteins such as the IRF3 transcription factor and the serine/threonine kinase TBK1 (also known as NAK). Multiple isoforms of ZBP1 are known to exist.

如果您使用该产品24608发表了文章,请通知我们,让我们可以引用您的文献。

et al,Inhibition of DAI refrains dendritic cells from maturation and prolongs murine islet and skin allograft survivalIn Front ImmunolOn2023 May 18byPengrui Cheng , Qian Jian et al..PMID:37197662 , (2023),
PMID: 37197662
et al,In vivo and in vitro study on the regulatory mechanism of XiaoChaiHu decoction on PANoptosis in sepsis-induced cardiomyopathy. , (2025),
PMID: 39197800

注释

应用

  • WB免疫印迹
  • IHC免疫组化
  • IF免疫荧光
  • ICC免疫细胞化学
  • FC流式细胞
  • IP免疫沉淀
  • E酶联免疫吸附法
  • DB免疫斑点法
  • ChIP染色质免疫沉淀
  • GICA胶体金免疫层析法
  • NC阴性对照

种属反应性

  • Hu
  • Ms小鼠
  • Rt大鼠
  • Dm果蝇
  • C线虫
  • Mk
  • Rb
  • B
  • D
  • P
  • Hm仓鼠
  • ChHm中国仓鼠
  • Chk
;

联系我们

Location :

南京市高新开发区星火路10号人才大厦C座

Phone :

400-9961-933
025-58868422

Email Address

info@sabbiotech.com