免费电话:400-9961-933
邮箱:info@sabbiotech.com
欢迎光临本站
川博智能体 English
位置: 首页 > 多克隆抗体 > Wnt10a Antibody

Wnt10a Antibody #24699

是否有货: 有货
产品详情

产品名称Wnt10a Antibody

来源种属Rabbit

克隆性Polyclonal

纯化Affinity chromatography purified via peptide column

应用ELISA WB IHC

种属反应性Human;Mouse;Rat

特异性Despite the high homology of Wnt10a to Wnt10b, this Wnt10a antibody will not cross-react with Wnt10b.

免疫原类型Peptide

免疫原描述Raised against a 14 amino acid peptide from near the carboxy terminus of human Wnt10a.

基因/蛋白名称Wnt10a

标记Unconjugated

别名Wnt10a, Wingless-type MMTV integration site family 10a

数据库入口号Q9GZT5

Uniprot Q9GZT5

浓度1mg/ml

配方Supplied in PBS containing 0.02% sodium azide.

保存Can be stored at -20˚C, stable for one year. As with all antibodies care should be taken to avoid repeated freeze thaw cycles. Antibodies should not be exposed to prolonged high temperatures.

应用详情
Western blot analysis of Wnt10a in RAW264.7 cell lysate with Wnt10a antibody at (A) 1 and (B) 2 ug/mL.
Immunohistochemistry of Wnt10a in human skeletal muscle tissue cells with Wnt10a antibody at 10 ug/mL.
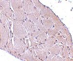
Immunohistochemistry of Wnt10a in mouse skeletal muscle tissue with Wnt10a antibody at 5 μg/ml.
Wnt10a is a member of the Wnt family, a gene family that encodes secreted signaling proteins that play crucial roles in normal development such as regulation of cell fate and patterning during embryogenesis as well as neoplastic transformation. Elevated levels of Wnt10a have been detected in several human tumors and cancer cell lines including colorectal cancer and chronic lymphocytic leukemia and it has been suggested that uncontrolled Wnt signaling may contribute to the defect in apoptosis that characterizes these malignancies. Recently, a mutation in Wnt10a was found to be associated with odonto-onycho-dermal dysplasia, an autosomal recessive ectodermal dysplasia.

如果您使用该产品24699发表了文章,请通知我们,让我们可以引用您的文献。

et al,Reforming the Chimeric Antigen Receptor by Peptide Towards Optimized CAR T Cells With Enhanced Anti-Cancer Potency and Safety.In Front Bioeng Biotechnol. 2022 Jun 17 by Cuijuan Liu , Lin Li , Fan Gao,,et al.PMID: 35782491 , (2022),
PMID: 35782491

注释

应用

  • WB免疫印迹
  • IHC免疫组化
  • IF免疫荧光
  • ICC免疫细胞化学
  • FC流式细胞
  • IP免疫沉淀
  • E酶联免疫吸附法
  • DB免疫斑点法
  • ChIP染色质免疫沉淀
  • GICA胶体金免疫层析法
  • NC阴性对照

种属反应性

  • Hu
  • Ms小鼠
  • Rt大鼠
  • Dm果蝇
  • C线虫
  • Mk
  • Rb
  • B
  • D
  • P
  • Hm仓鼠
  • ChHm中国仓鼠
  • Chk
;

联系我们

Location :

南京市高新开发区星火路10号人才大厦C座

Phone :

400-9961-933
025-58868422

Email Address

info@sabbiotech.com