免费电话:400-9961-933
邮箱:info@sabbiotech.com
欢迎光临本站
川博智能体 English
位置: 首页 > 多克隆抗体 > PRDM16 Antibody

PRDM16 Antibody #25030

是否有货: 有货
产品详情

产品名称PRDM16 Antibody

来源种属Rabbit

克隆性Polyclonal

纯化Affinity chromatography purified via peptide column

应用ELISA WB IHC

种属反应性Human;Mouse

免疫原类型Peptide

免疫原描述Raised against a 17 amino acid peptide from near the carboxy terminus of human PRDM16.

基因/蛋白名称PRDM16

标记Unconjugated

别名PR domain containing 16, MEL1, PFM13

数据库入口号CAH71530

Uniprot CAH71530

浓度1mg/ml

配方Supplied in PBS containing 0.02% sodium azide.

保存Can be stored at -20˚C, stable for one year. As with all antibodies care should be taken to avoid repeated freeze thaw cycles. Antibodies should not be exposed to prolonged high temperatures.

应用详情
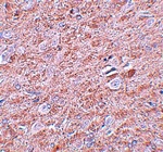
Immunohistochemistry of PRDM16 in rat brain tissue with PRDM16 antibody at 2.5 ug/mL.
Western blot analysis of PRDM16 in K562 cell lysate and Jurkat cell lysate with PRDM16 antibody .

PRDM16 is a zinc finger transcription factor and contains an N-terminal PR domain. The reciprocal translocation t(1;3)(p36;q21) occurs in a subset of myelodysplastic syndrome (MDS) and acute myeloid leukemia (AML). This gene is located near the 1p36.3 breakpoint and has been shown to be specifically expressed in the t(1:3)(p36, q21)-positive MDS/AML. The translocation results in the overexpression of a truncated version of this protein that lacks the PR domain, which may play an important role in the pathogenesis of MDS and AML. Recent studies have shown that PRDM16 normally acts as a Smad3 binding protein that may be important for the development of orofacial structures through modulation of the TGF-beta signaling pathway. Other experiments have indicated that PRDM16 controls a bidirectional cell fate switch between skeletal myoblasts and brown fat cells.

如果您使用该产品25030发表了文章,请通知我们,让我们可以引用您的文献。

et al,Withaferin A Promotes White Adipose Browning and Prevents Obesity Through Sympathetic Nerve-Activated Prdm16-FATP1 Axis. In Diabetes on 2021 Nov 3 by Bingbing Guo, Jiarui Liu,et al..PMID:34732538 , (2021),
PMID: 34732538
et al,Withaferin A Promotes White Adipose Browning and Prevents Obesity Through Sympathetic Nerve–Activated Prdm16-FATP1 Axis. In Diabetes on 2022 Feb 1 by Bingbing Guo, Jiarui Liu,et al..PMID:34732538 , (2022),
PMID: 34732538

注释

应用

  • WB免疫印迹
  • IHC免疫组化
  • IF免疫荧光
  • ICC免疫细胞化学
  • FC流式细胞
  • IP免疫沉淀
  • E酶联免疫吸附法
  • DB免疫斑点法
  • ChIP染色质免疫沉淀
  • GICA胶体金免疫层析法
  • NC阴性对照

种属反应性

  • Hu
  • Ms小鼠
  • Rt大鼠
  • Dm果蝇
  • C线虫
  • Mk
  • Rb
  • B
  • D
  • P
  • Hm仓鼠
  • ChHm中国仓鼠
  • Chk
;

联系我们

Location :

南京市高新开发区星火路10号人才大厦C座

Phone :

400-9961-933
025-58868422

Email Address

info@sabbiotech.com