免费电话:400-9961-933
邮箱:info@sabbiotech.com
欢迎光临本站
川博智能体 English
位置: 首页 > 多克隆抗体 > Lin28 Antibody

Lin28 Antibody #25055

是否有货: 有货
产品详情

产品名称Lin28 Antibody

来源种属Rabbit

克隆性Polyclonal

纯化Affinity chromatography purified via peptide column

应用ELISA WB IHC

种属反应性Human

免疫原类型Peptide

免疫原描述Raised against a 15 amino acid peptide near the carboxy terminus of human Lin28.

基因/蛋白名称Lin28

标记Unconjugated

别名Lin28A, CSDD1, ZCCH1

数据库入口号EAX07814

Uniprot EAX07814

浓度1mg/ml

配方Supplied in PBS containing 0.02% sodium azide.

保存Can be stored at -20˚C, stable for one year. As with all antibodies care should be taken to avoid repeated freeze thaw cycles. Antibodies should not be exposed to prolonged high temperatures.

应用详情
Western blot analysis of Lin28 in Raji cell lysate with Lin28 antibody at (A) 1 and (B) 2 ug/mL.
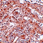
Immunohistochemistry of KLF4 in human spleen tissue with KLF4 antibody at 5 ug/mL.
Lin28 is a transcription factor that was first identified through its key role in the pathway of developmental timing in C. elegans. The role of Lin28 in development suggested that it might be useful in the creation of stem cells that might be beneficial in cell replacement therapies in the treatment of several degenerative diseases. Artificial stem cells, termed induced pluripotent stem (iPS) cells, can be created by expressing Lin28 in addition to the transcription factors POU5F1, Sox2, and NANOG in mouse fibroblasts. More recently, experiments have demonstrated that iPS cells could be generated using expression plasmids expressing Lin28, Sox2, POU5F1 and c-Myc, eliminating the need for virus introduction, thereby addressing a safety concern for potential use of iPS cells in regenerative medicine.

如果您使用该产品25055发表了文章,请通知我们,让我们可以引用您的文献。

et al,Geniposide activates the NLRP3 inflammasome pathway to induce nephrotoxicity by regulating FXR/PERK/TXNIP pathways , (2025),
PMID: 41260456

注释

应用

  • WB免疫印迹
  • IHC免疫组化
  • IF免疫荧光
  • ICC免疫细胞化学
  • FC流式细胞
  • IP免疫沉淀
  • E酶联免疫吸附法
  • DB免疫斑点法
  • ChIP染色质免疫沉淀
  • GICA胶体金免疫层析法
  • NC阴性对照

种属反应性

  • Hu
  • Ms小鼠
  • Rt大鼠
  • Dm果蝇
  • C线虫
  • Mk
  • Rb
  • B
  • D
  • P
  • Hm仓鼠
  • ChHm中国仓鼠
  • Chk
;

联系我们

Location :

南京市高新开发区星火路10号人才大厦C座

Phone :

400-9961-933
025-58868422

Email Address

info@sabbiotech.com