免费电话:400-9961-933
邮箱:info@sabbiotech.com
欢迎光临本站
川博智能体 English
位置: 首页 > 多克隆抗体 > BCAS4 Antibody

BCAS4 Antibody #25066

是否有货: 有货
产品详情

产品名称BCAS4 Antibody

来源种属Rabbit

克隆性Polyclonal

纯化Affinity chromatography purified via peptide column

应用ELISA WB IHC

种属反应性Human;Mouse

免疫原类型Peptide

免疫原描述Raised against a 14 amino acid peptide near the amino terminus of human BCAS4.

基因/蛋白名称BCAS4

标记Unconjugated

别名Breast carcinoma amplified sequence 4, CNOL

数据库入口号CAI23006

Uniprot CAI23006

浓度1mg/ml

配方Supplied in PBS containing 0.02% sodium azide.

保存Can be stored at -20˚C, stable for one year. As with all antibodies care should be taken to avoid repeated freeze thaw cycles. Antibodies should not be exposed to prolonged high temperatures.

应用详情
Western blot analysis of BCAS4 in 3T3 cell lysate with BCAS4 antibody at (A) 1 and (B) 2 ug/mL.
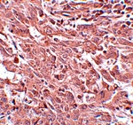
Immunohistochemistry of BCAS4 in human breast carcinoma with BCAS4 antibody at 5 ug/mL.
The Breast carcinoma amplified sequence (BCAS4) gene is localized to 20q13, a region that is often amplified in breast cancers. It was isolated by the cloning of a highly overexpressed 1.3 kb transcript from the fusion of the last two exons of the BCAS3 and BCAS4 genes. This BCAS3-BCAS4 fusion transcript is only found in the MCF7 cell line, but the BCAS4 gene is also overexpressed in nine of thirteen breast cancer cell lines. The role of BCAS4 is unknown but its mRNA is highly expressed in thymus, spleen, kidney, brain, and placenta, suggesting BCAS4 plays other roles in multiple tissues.

如果您使用该产品25066发表了文章,请通知我们,让我们可以引用您的文献。

et al,Activation of bitter taste receptor TAS2R4 alleviates diabetic nephropathy in mice , (2025),
PMID: 40228633

注释

应用

  • WB免疫印迹
  • IHC免疫组化
  • IF免疫荧光
  • ICC免疫细胞化学
  • FC流式细胞
  • IP免疫沉淀
  • E酶联免疫吸附法
  • DB免疫斑点法
  • ChIP染色质免疫沉淀
  • GICA胶体金免疫层析法
  • NC阴性对照

种属反应性

  • Hu
  • Ms小鼠
  • Rt大鼠
  • Dm果蝇
  • C线虫
  • Mk
  • Rb
  • B
  • D
  • P
  • Hm仓鼠
  • ChHm中国仓鼠
  • Chk
;

联系我们

Location :

南京市高新开发区星火路10号人才大厦C座

Phone :

400-9961-933
025-58868422

Email Address

info@sabbiotech.com