免费电话:400-9961-933
邮箱:info@sabbiotech.com
欢迎光临本站
川博智能体 English
位置: 首页 > 多克隆抗体 > TM4SF1 Antibody

TM4SF1 Antibody #25278

是否有货: 有货
产品详情

产品名称TM4SF1 Antibody

来源种属Rabbit

克隆性Polyclonal

纯化Affinity chromatography purified via peptide column

应用ELISA WB

种属反应性Human;Mouse;Rat

特异性At least three isoforms of TM4SF1 are known to exist; this antibody will recognize only the two largest isoforms. TM4SF1 antibody is predicted to not cross-react with other tetraspanin proteins.

免疫原类型Peptide

免疫原描述Raised against an 18 amino acid peptide near the amino terminus of human TM4SF1.

基因/蛋白名称TM4SF1

标记Unconjugated

别名Transmembrane 4 L6 family member 1, L6, H-L6, M3S1, TAAL6

数据库入口号NP_055035

Uniprot NP_055035

浓度1mg/ml

配方Supplied in PBS containing 0.02% sodium azide.

保存Can be stored at -20˚C, stable for one year. As with all antibodies care should be taken to avoid repeated freeze thaw cycles. Antibodies should not be exposed to prolonged high temperatures.

应用详情
Western blot analysis of TM4SF1 in human lung tissue lysate with TM4SF1 antibody at (A) 0.5 and (B) 1 ug/mL.
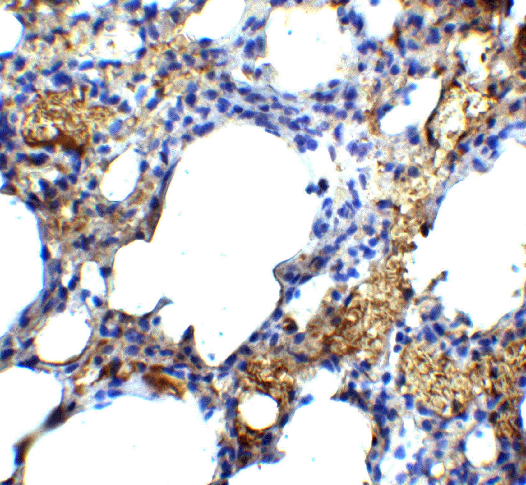
Immunohistochemistry of TM4SF1 in mouse lung tissue with TM4SF1 antibody at 5 μg/mL.
TM4SF1 is a member of the transmembrane 4 superfamily, also known as the tetraspanin family. Most of these members are cell-surface proteins that are characterized by the presence of four hydrophobic domains and mediate signal transduction events that play a role in the regulation of cell development, activation, growth and motility. TM4SF1 is a cell surface antigen and is highly expressed in the vascular endothelium of several human cancers. Knockdown experiments of TM4SF1 prevented filopodia formation, inhibited cell mobility, blocked cytokinesis, and inhibited maturation of VEGF-A-induced angiogenesis, suggesting that TM4SF1 may be an attractive target for anti-angiogenesis therapy.

如果您使用该产品25278发表了文章,请通知我们,让我们可以引用您的文献。

et al,Hepatic Stellate Cell TM4SF1 Accelerates Hepatic Fibrosis Progression via Interacting With the Tyrosine Kinase c-Src , (2025),
PMID: 40550268

注释

应用

  • WB免疫印迹
  • IHC免疫组化
  • IF免疫荧光
  • ICC免疫细胞化学
  • FC流式细胞
  • IP免疫沉淀
  • E酶联免疫吸附法
  • DB免疫斑点法
  • ChIP染色质免疫沉淀
  • GICA胶体金免疫层析法
  • NC阴性对照

种属反应性

  • Hu
  • Ms小鼠
  • Rt大鼠
  • Dm果蝇
  • C线虫
  • Mk
  • Rb
  • B
  • D
  • P
  • Hm仓鼠
  • ChHm中国仓鼠
  • Chk
;

联系我们

Location :

南京市高新开发区星火路10号人才大厦C座

Phone :

400-9961-933
025-58868422

Email Address

info@sabbiotech.com