免费电话:400-9961-933
邮箱:info@sabbiotech.com
欢迎光临本站
川博智能体 English
位置: 首页 > 鼠单克隆抗体 > PRMT6 Monoclonal Antibody

PRMT6 Monoclonal Antibody #27017

是否有货: 有货
产品详情

产品名称PRMT6 Monoclonal Antibody

来源种属Mouse

克隆性Monoclonal

亚型IgG1

纯化Purified by antigen-affinity chromatography.

应用WB ICC IHC

种属反应性Human;Mouse;Rat

免疫原类型Recombinant protein

免疫原描述Recombinant full length protein (375aa) of human PRMT6.

基因/蛋白名称PRMT6

标记Unconjugated

别名 protein arginine N-methyltransferase 6 HMT1 hnRNP methyltransferase-like 6 histone-arginine N-methyltransferase PRMT6 heterogeneous nuclear ribonucleoprotein methyltransferase-like protein 6

数据库入口号UniProt:Q96LA8
NCBI Gene ID:55170

Uniprot Q96LA8

配方Purified mouse monoclonal in buffer containing 0.1M Tris-Glycine (pH 7.4, 150 mM NaCl) with 0.2% sodium azide, 50%,glycerol

保存store at -20˚C

应用详情

Predicted MW: 42kd
Western blotting: 1:1000

1:1000 dilution of this antibody detected PRMT6 on 40ug of cell lysates
1:150 dilution from a previous lot detected PRMT6 in Hela
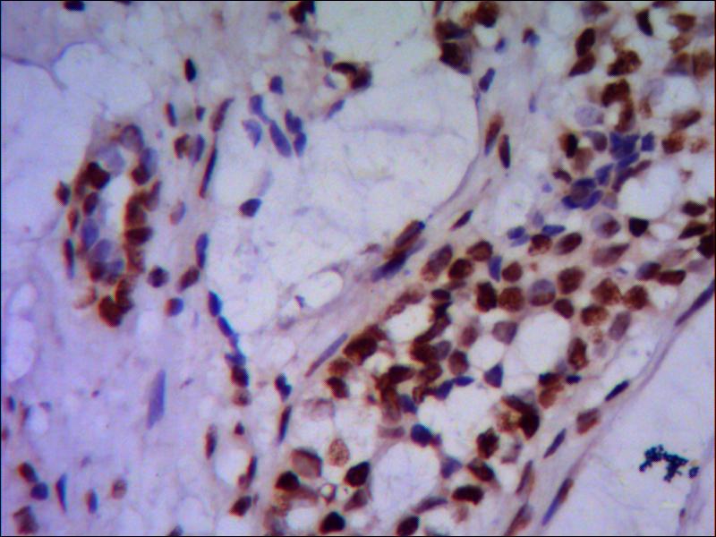
Paraffin-embedded human breast cancer using anti- PRMT6 diluted 1: 50-1: 100

如果您使用该产品27017发表了文章,请通知我们,让我们可以引用您的文献。

et al,A novel 3-alkenylindol-2-one derivative selectively inhibits the growth of acute myeloid leukemia via modulation of the MYC-PRMT pathway , (2025),
PMID: 40619015

注释

应用

  • WB免疫印迹
  • IHC免疫组化
  • IF免疫荧光
  • ICC免疫细胞化学
  • FC流式细胞
  • IP免疫沉淀
  • E酶联免疫吸附法
  • DB免疫斑点法
  • ChIP染色质免疫沉淀
  • GICA胶体金免疫层析法
  • NC阴性对照

种属反应性

  • Hu
  • Ms小鼠
  • Rt大鼠
  • Dm果蝇
  • C线虫
  • Mk
  • Rb
  • B
  • D
  • P
  • Hm仓鼠
  • ChHm中国仓鼠
  • Chk
;

联系我们

Location :

南京市高新开发区星火路10号人才大厦C座

Phone :

400-9961-933
025-58868422

Email Address

info@sabbiotech.com