免费电话:400-9961-933
邮箱:info@sabbiotech.com
欢迎光临本站
川博智能体 English
位置: 首页 > 鼠单克隆抗体 > AMPK beta 1 Monoclonal Antibody

AMPK beta 1 Monoclonal Antibody #27201

是否有货: 有货
产品详情

产品名称AMPK beta 1 Monoclonal Antibody

克隆号1A7-E11-E9

来源种属Mouse

克隆性Monoclonal

亚型Hu Ms Rt Mk

纯化Affinity purified

应用WB ICC IP IHC

种属反应性Human;Mouse;Rat;Monkey

特异性This antibody detects endogenous levels of AMPK beta 1 and does not cross-react with related proteins.

免疫原类型Recombinant Protein

免疫原描述Purified recombinant human AMPK beta 1 protein fragments expressed in E.coli.

基因/蛋白名称AMPK beta 1

标记Unconjugated

别名1300015D22Rik; 5 AMP activated protein kinase subunit beta 1; 5''-AMP-activated protein kinase subunit beta-1; AAKB1_HUMAN; AMP-ACTIVATED PROTEIN KINASE, NONCATALYTIC, BETA-1; AMP-activated, noncatalytic, beta-1; AMPK; AMPK beta 1 chain;

数据库入口号Uniprot: Q9Y478

Gene ID: 5564

Uniprot Q9Y478

实际分子量38kd

配方Purified mouse monoclonal antibody in PBS(pH 7.4) containing with 0.02% sodium azide and 50% glycerol.

保存store at -20˚C

应用详情

Western blotting: 1:1000

Immunocytochemistry: 1:100
Immunocytochemistry staining of HeLa cells fixed with 1% Paraformaldehyde and using anti-AMPK beta 1 antibody (dilution 1:100).
Western blot detection of AMPK beta 1 in 3T3,Hela,PC-12,COS7 and MDA-MB-468 cell lysates using AMPK beta 1 antibody (1:1000 diluted).Predicted band size:38KDa.Observed band size:38KDa.Exposure time:5min.
Immunoprecipitation analysis of Hela cell lysates using AMPK beta 1 antibody.
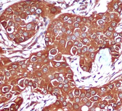
Immunohistochemical analysis of paraffin-embedded Breast cancer using AMPK beta 1 Mouse mAb (1/200 dilution).Antigen retrieval was performed by pressure cooking in citrate buffer (pH 6.0).

 Non-catalytic subunit of AMP-activated protein kinase (AMPK),an energy sensor protein kinase that plays a key role in regulating cellular energy metabolism.In response to reduction of intracellular ATP levels,AMPK activates energy-producing pathways and inhibits energy-consuming processes: inhibits protein,carbohydrate and lipid biosynthesis,as well as cell growth and proliferation.AMPK acts via direct phosphorylation of metabolic enzymes,and by longer-term effects via phosphorylation of transcription regulators.Also acts as a regulator of cellular polarity by remodeling the actin cytoskeleton;probably by indirectly activating myosin.Beta non-catalytic subunit acts as a scaffold on which the AMPK complex assembles,via its C-terminus that bridges alpha (PRKAA1 or PRKAA2) and gamma subunits (PRKAG1,PRKAG2 or PRKAG3).

如果您使用该产品27201发表了文章,请通知我们,让我们可以引用您的文献。

et al,Blocking AMPK β1 myristoylation enhances AMPK activity and protects mice from high-fat diet-induced obesity and hepatic steatosis. In Cell Rep on 2022 Dec 20 by Katyayanee Neopane, Natalie Kozlov, et al..PMID:36543129 , (2022),
PMID: 36543129
et al,AMPKβ isoform expression patterns in various adipocyte models and in relation to body mass index.In Front Physiol on 2022 Aug 4 by Franziska Kopietz, Eva Degerman,et al..PMID:35991175 , (2022),
PMID: 35991175

注释

应用

  • WB免疫印迹
  • IHC免疫组化
  • IF免疫荧光
  • ICC免疫细胞化学
  • FC流式细胞
  • IP免疫沉淀
  • E酶联免疫吸附法
  • DB免疫斑点法
  • ChIP染色质免疫沉淀
  • GICA胶体金免疫层析法
  • NC阴性对照

种属反应性

  • Hu
  • Ms小鼠
  • Rt大鼠
  • Dm果蝇
  • C线虫
  • Mk
  • Rb
  • B
  • D
  • P
  • Hm仓鼠
  • ChHm中国仓鼠
  • Chk
;

联系我们

Location :

南京市高新开发区星火路10号人才大厦C座

Phone :

400-9961-933
025-58868422

Email Address

info@sabbiotech.com