免费电话:400-9961-933
邮箱:info@sabbiotech.com
欢迎光临本站
川博智能体 English
位置: 首页 > 多克隆抗体 > ATP1A Polyclonal Antibody

ATP1A Polyclonal Antibody #27234

是否有货: Yes
产品详情

产品名称ATP1A Polyclonal Antibody

来源种属Rabbit

克隆性Polyclonal

亚型IgG

纯化Affinity purification

应用WB,IHC

种属反应性Human;Mouse;Rat

免疫原描述Recombinant fusion protein of human ATP1A (NP_000692.2).

标记Unconjugated

别名ATP1A1; ATPase Na+/K+ transporting subunit alpha 1

数据库入口号Swiss-Prot#:P05023
NCBI Gene ID:476/477/478/480

Uniprot P05023

计算分子量113kDa

配方Avoid freeze / thaw cycles.|Buffer: PBS with 50% glycerol, pH7.4.

保存Store at -20˚C

应用详情
WB 1:500 - 1:1000
IHC 1:50 - 1:200
IP 1:50 - 1:100
Western blot analysis of extracts of HeLa cells, using ATP1A antibody at 1:500 dilution.
Western blot analysis of extracts of various cell lines, using ATP1A1 antibody at 1:1000 dilution.
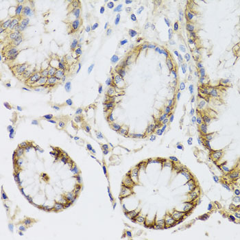
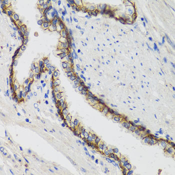
Immunohistochemistry of paraffin-embedded human prostate using ATP1A1 antibody at dilution of 1:100 (40x lens).
Immunohistochemistry of paraffin-embedded human stomach using ATP1A1 antibody at dilution of 1:100 (40x lens).
The protein encoded by this gene belongs to the family of P-type cation transport ATPases, and to the subfamily of Na+/K+ -ATPases. Na+/K+ -ATPase is an integral membrane protein responsible for establishing and maintaining the electrochemical gradients of Na and K ions across the plasma membrane. These gradients are essential for osmoregulation, for sodium-coupled transport of a variety of organic and inorganic molecules, and for electrical excitability of nerve and muscle. This enzyme is composed of two subunits, a large catalytic subunit (alpha) and a smaller glycoprotein subunit (beta). The catalytic subunit of Na+/K+ -ATPase is encoded by multiple genes. This gene encodes an alpha 1 subunit. Multiple transcript variants encoding different isoforms have been found for this gene.

如果您使用该产品27234发表了文章,请通知我们,让我们可以引用您的文献。

et al,ATP8B1 Deficiency Results in Elevated Mitochondrial Phosphatidylethanolamine Levels and Increased Mitochondrial Oxidative Phosphorylation in Human Hepatoma Cells.In Int J Mol Sci. 2022 Oct 15 by Valentina E Gómez-Mellado, Jung-Chin Chang , et al..PMID:36293199 , (2022),
PMID: 36293199

注释

应用

  • WB免疫印迹
  • IHC免疫组化
  • IF免疫荧光
  • ICC免疫细胞化学
  • FC流式细胞
  • IP免疫沉淀
  • E酶联免疫吸附法
  • DB免疫斑点法
  • ChIP染色质免疫沉淀
  • GICA胶体金免疫层析法
  • NC阴性对照

种属反应性

  • Hu
  • Ms小鼠
  • Rt大鼠
  • Dm果蝇
  • C线虫
  • Mk
  • Rb
  • B
  • D
  • P
  • Hm仓鼠
  • ChHm中国仓鼠
  • Chk
;

联系我们

Location :

南京市高新开发区星火路10号人才大厦C座

Phone :

400-9961-933
025-58868422

Email Address

info@sabbiotech.com