免费电话:400-9961-933
邮箱:info@sabbiotech.com
欢迎光临本站
川博智能体 English
位置: 首页 > 多克隆抗体 > NF2 Polyclonal Antibody

NF2 Polyclonal Antibody #27239

是否有货: 货期一周
产品详情

产品名称NF2 Polyclonal Antibody

来源种属Rabbit

克隆性Polyclonal

亚型IgG

纯化Affinity purification

应用WB,IF

种属反应性Human;Mouse;Rat

免疫原描述Recombinant fusion protein of human NF2 (NP_000259.1).

标记Unconjugated

别名NF2;ACN;BANF;SCH;merlin

数据库入口号Uniprot:P35240
GeneID:4771

Uniprot P35240

Gene ID 4771

计算分子量80kDa

实际分子量80kDa

配方PBS with 0.02% sodium azide,50% glycerol,pH7.3.

保存Store at -20˚C. Avoid freeze / thaw cycles.

应用详情
WB 1:500 - 1:2000
IF 1:50 - 1:200
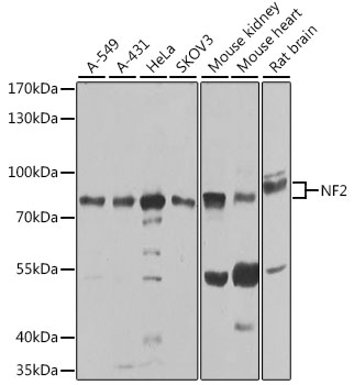
Western blot analysis of extracts of various cell lines, using NF2 antibody.
Immunofluorescence analysis of C6 cells using NF2 antibody.
Immunofluorescence analysis of L929 cells using NF2 antibody.
Immunofluorescence analysis of U2OS cells using NF2 antibody.
This gene encodes a protein that is similar to some members of the ERM (ezrin, radixin, moesin) family of proteins that are thought to link cytoskeletal components with proteins in the cell membrane. This gene product has been shown to interact with cell-surface proteins, proteins involved in cytoskeletal dynamics and proteins involved in regulating ion transport. This gene is expressed at high levels during embryonic development; in adults, significant expression is found in Schwann cells, meningeal cells, lens and nerve. Mutations in this gene are associated with neurofibromatosis type II which is characterized by nervous system and skin tumors and ocular abnormalities. Two predominant isoforms and a number of minor isoforms are produced by alternatively spliced transcripts.

如果您使用该产品27239发表了文章,请通知我们,让我们可以引用您的文献。

et al,Serine Supplementation Attenuates High-Selenium-Induced Insulin Resistance via Feedback Inhibition of PHGDH in Mice , (2025),
PMID: 41264177

注释

应用

  • WB免疫印迹
  • IHC免疫组化
  • IF免疫荧光
  • ICC免疫细胞化学
  • FC流式细胞
  • IP免疫沉淀
  • E酶联免疫吸附法
  • DB免疫斑点法
  • ChIP染色质免疫沉淀
  • GICA胶体金免疫层析法
  • NC阴性对照

种属反应性

  • Hu
  • Ms小鼠
  • Rt大鼠
  • Dm果蝇
  • C线虫
  • Mk
  • Rb
  • B
  • D
  • P
  • Hm仓鼠
  • ChHm中国仓鼠
  • Chk
;

联系我们

Location :

南京市高新开发区星火路10号人才大厦C座

Phone :

400-9961-933
025-58868422

Email Address

info@sabbiotech.com