免费电话:400-9961-933
邮箱:info@sabbiotech.com
欢迎光临本站
川博智能体 English
位置: 首页 > 多克隆抗体 > PARP1 Polyclonal Antibody

PARP1 Polyclonal Antibody #27246

是否有货: 货期一周
产品详情

产品名称PARP1 Polyclonal Antibody

来源种属Rabbit

克隆性Polyclonal

亚型IgG

纯化Affinity purification

应用WB,IHC,IF

种属反应性Human;Mouse;Rat

免疫原描述Recombinant fusion protein of human PARP1 (NP_001609.2).

标记Unconjugated

别名PARP1; ADPRT; ADPRT 1; ADPRT1; ARTD1; PARP; PARP-1; PPOL; pADPRT-1; poly(ADP-ribose) polymerase 1

数据库入口号Swiss-Prot#:P09874
NCBI Gene ID:142

Uniprot P09874

计算分子量89kDa, 116kDa

配方Avoid freeze / thaw cycles.|Buffer: PBS with 50% glycerol, pH7.4.

保存Store at -20˚C

应用详情

WB 1:1000 - 1:3000
IHC 1:50 - 1:200
IF 1:50 - 1:200
IP 1:50 - 1:200
ChIP 1:50 - 1:200

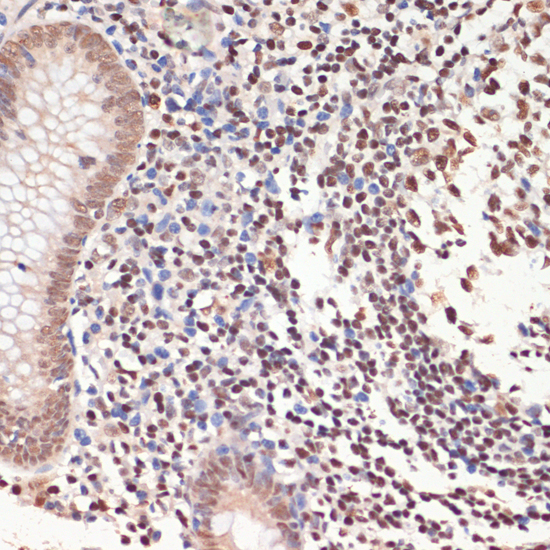
Immunohistochemistry of paraffin-embedded human appendix using PARP1 antibody at dilution of 1:200 (40x lens).
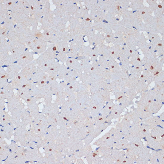
Immunohistochemistry of paraffin-embedded rat heart using PARP1 antibody at dilution of 1:200 (40x lens).
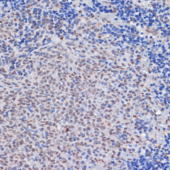
Immunohistochemistry of paraffin-embedded rat spleen using PARP1 antibody at dilution of 1:200 (40x lens).
Confocal immunofluorescence analysis of U-2 OS cells using PARP1 Polyclonal antibody at dilution of 1:200. Blue: DAPI for nuclear staining.
Western blot analysis of extracts of Jurkat cells, using PARP1 antibody at 1:1000 dilution.
Western blot analysis of extracts of various cell lines, using PARP1 antibody at 1:500 dilution.
Western blot analysis of extracts from normal (control) and PARP1 knockout (KO) HeLa cells, using PARP1 antibody at 1:1000 dilution.
Immunofluorescence analysis of U2OS cells using PARP1 antibody at dilution of 1:100. Blue: DAPI for nuclear staining.

This gene encodes a chromatin-associated enzyme, poly(ADP-ribosyl)transferase, which modifies various nuclear proteins by poly(ADP-ribosyl)ation. The modification is dependent on DNA and is involved in the regulation of various important cellular processes such as differentiation, proliferation, and tumor transformation and also in the regulation of the molecular events involved in the recovery of cell from DNA damage. In addition, this enzyme may be the site of mutation in Fanconi anemia, and may participate in the pathophysiology of type I diabetes.

如果您使用该产品27246发表了文章,请通知我们,让我们可以引用您的文献。

et al,CD155 Cooperates with PD-1/PD-L1 to Promote Proliferation of Esophageal Squamous Cancer Cells via PI3K/Akt and MAPK Signaling Pathways. In Cancers (Basel) on 2022 Nov 15 by Xiyang Tan, Jie Yang, et al..PMID:36428703 , (2022),
PMID: 36428703

注释

应用

  • WB免疫印迹
  • IHC免疫组化
  • IF免疫荧光
  • ICC免疫细胞化学
  • FC流式细胞
  • IP免疫沉淀
  • E酶联免疫吸附法
  • DB免疫斑点法
  • ChIP染色质免疫沉淀
  • GICA胶体金免疫层析法
  • NC阴性对照

种属反应性

  • Hu
  • Ms小鼠
  • Rt大鼠
  • Dm果蝇
  • C线虫
  • Mk
  • Rb
  • B
  • D
  • P
  • Hm仓鼠
  • ChHm中国仓鼠
  • Chk
;

联系我们

Location :

南京市高新开发区星火路10号人才大厦C座

Phone :

400-9961-933
025-58868422

Email Address

info@sabbiotech.com