免费电话:400-9961-933
邮箱:info@sabbiotech.com
欢迎光临本站
川博智能体 English
位置: 首页 > 多克隆抗体 > SIRT1 Polyclonal Antibody

SIRT1 Polyclonal Antibody #27523

是否有货: Yes
产品详情

产品名称SIRT1 Polyclonal Antibody

来源种属Rabbit

克隆性Polyclonal

亚型IgG

纯化Affinity purification

应用WB,IHC,IF

种属反应性Human;Mouse;Rat

免疫原描述A synthetic peptide of human SIRT1

标记Unconjugated

别名SIR2;SIR2L1;SIR2alpha;SIRT1;sirtuin 1

数据库入口号Uniprot:Q96EB6
GeneID:23411

Uniprot Q96EB6

Gene ID 23411

计算分子量82kDa

实际分子量80-85 kDa,110-130 kDa

配方PBS with 0.02% sodium azide,50% glycerol,pH7.3.

保存Store at -20˚C. Avoid freeze / thaw cycles.

应用详情
WB 1:500 - 1:2000
IHC 1:50 - 1:200
IF 1:50 - 1:200
Western blot analysis of extracts from various cell lines using SIRT1 Polyclonal Antibody.
Immunohistochemistry of paraffin-embedded Mouse heart tissue using SIRT1 Polyclonal Antibody.
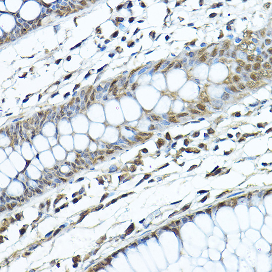
Immunohistochemistry of paraffin-embedded Human colon tissue using SIRT1 Polyclonal Antibody.
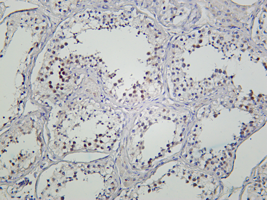
Immunohistochemistry of paraffin-embedded Human testis tissue using SIRT1 Polyclonal Antibody.
Immunofluorescence analysis of C6 cells using SIRT1 Polyclonal Antibody.Blue: DAPI for nuclear staining.
Immunofluorescence analysis of NIH-3T3 cells using SIRT1 Polyclonal Antibody.Blue: DAPI for nuclear staining.
Immunofluorescence analysis of HeLa cells using SIRT1 Polyclonal Antibody.Blue: DAPI for nuclear staining.
Immunofluorescence analysis of NIH-3T3 cells using SIRT1 Polyclonal Antibody.Blue: DAPI for nuclear staining.
This gene encodes a member of the sirtuin family of proteins, homologs to the yeast Sir2 protein. Members of the sirtuin family are characterized by a sirtuin core domain and grouped into four classes. The functions of human sirtuins have not yet been determined; however, yeast sirtuin proteins are known to regulate epigenetic gene silencing and suppress recombination of rDNA. Studies suggest that the human sirtuins may function as intracellular regulatory proteins with mono-ADP-ribosyltransferase activity. The protein encoded by this gene is included in class I of the sirtuin family. Alternative splicing results in multiple transcript variants.

如果您使用该产品27523发表了文章,请通知我们,让我们可以引用您的文献。

et al,Fucoidan modulates SIRT1 and NLRP3 to alleviate hypertensive retinopathy: in vivo and in vitro insights. In J Transl Med on 2024 Feb 15 by Jing Li, Xiaochen Wang,et al..PMID:38360728 , (2024),
PMID: 38360728

注释

应用

  • WB免疫印迹
  • IHC免疫组化
  • IF免疫荧光
  • ICC免疫细胞化学
  • FC流式细胞
  • IP免疫沉淀
  • E酶联免疫吸附法
  • DB免疫斑点法
  • ChIP染色质免疫沉淀
  • GICA胶体金免疫层析法
  • NC阴性对照

种属反应性

  • Hu
  • Ms小鼠
  • Rt大鼠
  • Dm果蝇
  • C线虫
  • Mk
  • Rb
  • B
  • D
  • P
  • Hm仓鼠
  • ChHm中国仓鼠
  • Chk
;

联系我们

Location :

南京市高新开发区星火路10号人才大厦C座

Phone :

400-9961-933
025-58868422

Email Address

info@sabbiotech.com