免费电话:400-9961-933
邮箱:info@sabbiotech.com
欢迎光临本站
川博智能体 English
位置: 首页 > 多克隆抗体 > Vimentin Polyclonal Antibody

Vimentin Polyclonal Antibody #27578

是否有货: 货期一周
产品详情

产品名称Vimentin Polyclonal Antibody

来源种属Rabbit

克隆性Polyclonal

亚型IgG

纯化Affinity purification

应用WB;IHC;IF

种属反应性Human;Mouse;Rat

免疫原描述Recombinant fusion protein of human Vimentin (NP_003371.2).

标记Unconjugated

别名VIM; CTRCT30; HEL113; vimentin

数据库入口号Swiss-Prot#:P08670
NCBI Gene ID:7431

Uniprot P08670

计算分子量54kDa

实际分子量54-57kDa

配方Avoid freeze / thaw cycles.|Buffer: PBS with 50% glycerol, pH7.4.

保存Store at -20˚C

应用详情

WB 1:500 - 1:2000
IHC 1:50 - 1:200
IF 1:50 - 1:200

Western blot analysis of extracts from various cell lines using Vimentin Antibody.
Western blot analysis of extracts from normal (control) and Vimentin knockout (KO) 293T cells using Vimentin Antibody.
Immunohistochemistry of paraffin-embedded human tonsil using Vimentin Polyclonal Antibody at dilution of 1:150 (40x lens).
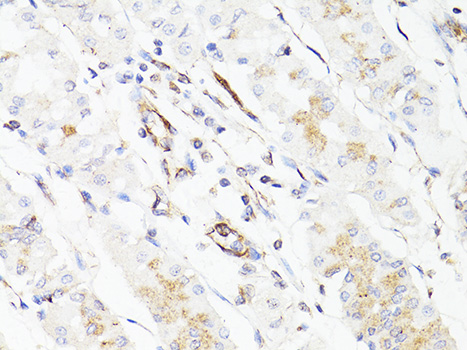
Immunohistochemistry of paraffin-embedded human stomach using Vimentin Polyclonal Antibody at dilution of 1:150 (40x lens).
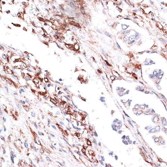
Immunohistochemistry of paraffin-embedded Human lung cancer using Vimentin Polyclonal Antibody.
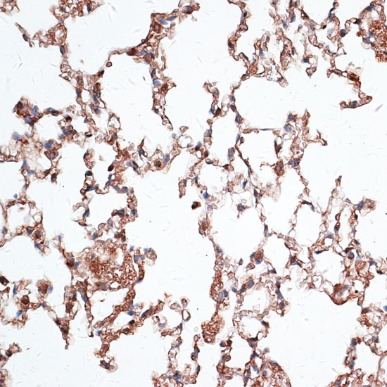
Immunohistochemistry of paraffin-embedded Mouse lung using Vimentin Polyclonal Antibody.
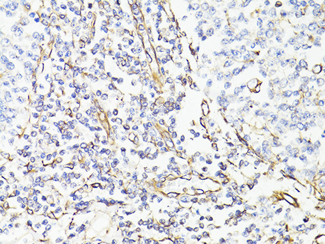
Immunohistochemistry analysis of paraffin-embedded human colon carcinoma tissue using Vimentin Polyclonal Antibody.
Immunofluorescence analysis of L929 cells using Vimentin Polyclonal Antibody at dilution of 1:100. Blue: DAPI for nuclear staining.
Immunofluorescence analysis of HEK293 cells using Vimentin Polyclonal Antibody.Picture A: Vimentin antibody (red). Picture B: DAPI (blue). Picture C: Merge of A+B
Immunofluorescence analysis of U2OS cell using Vimentin Polyclonal Antibody. Blue: DAPI for nuclear staining.

This gene encodes a member of the intermediate filament family. Intermediate filamentents, along with microtubules and actin microfilaments, make up the cytoskeleton. The protein encoded by this gene is responsible for maintaining cell shape, integrity of the cytoplasm, and stabilizing cytoskeletal interactions. It is also involved in the immune response, and controls the transport of low-density lipoprotein (LDL)-derived cholesterol from a lysosome to the site of esterification. It functions as an organizer of a number of critical proteins involved in attachment, migration, and cell signaling. Mutations in this gene causes a dominant, pulverulent cataract.

如果您使用该产品27578发表了文章,请通知我们,让我们可以引用您的文献。

et al,Neferine, a novel ROCK1-targeting inhibitor, blocks EMT process and induces apoptosis in non-small cell lung cancer. In J Cancer Res Clin Oncol on 2022 Aug 19by Po Hu, Peng Wan, et al..PMID:35984492 , (2022),
PMID: 35984492
et al,Telomerase reverse transcriptase gene knock-in unleashes enhanced longevity and accelerated damage repair in mice , (2024),
PMID:
et al,Anti-cancer drug 3, 3锟?diindolylmethane activates Wnt4 signaling to enhance gastric cancer cell stemness and tumorigenesis.In Oncotarget on 2016 Mar 29 by Yanhua Zhu , Bin Zhang et al..PMID:26918831 , (2016),
PMID: 26918831

注释

应用

  • WB免疫印迹
  • IHC免疫组化
  • IF免疫荧光
  • ICC免疫细胞化学
  • FC流式细胞
  • IP免疫沉淀
  • E酶联免疫吸附法
  • DB免疫斑点法
  • ChIP染色质免疫沉淀
  • GICA胶体金免疫层析法
  • NC阴性对照

种属反应性

  • Hu
  • Ms小鼠
  • Rt大鼠
  • Dm果蝇
  • C线虫
  • Mk
  • Rb
  • B
  • D
  • P
  • Hm仓鼠
  • ChHm中国仓鼠
  • Chk
;

联系我们

Location :

南京市高新开发区星火路10号人才大厦C座

Phone :

400-9961-933
025-58868422

Email Address

info@sabbiotech.com