免费电话:400-9961-933
邮箱:info@sabbiotech.com
欢迎光临本站
川博智能体 English
位置: 首页 > 多克隆抗体 > PGC1 alpha Polyclonal Antibody

PGC1 alpha Polyclonal Antibody #27583

是否有货: Yes
产品详情

产品名称PGC1 alpha Polyclonal Antibody

来源种属Rabbit

克隆性Polyclonal

亚型IgG

纯化The antibody was purified by immunogen affinity chromatography.

应用WB,IHC,IF

种属反应性Human;Mouse;Rat

免疫原描述KLH-conjugated synthetic peptide of human PGC1 alpha

标记Unconjugated

别名PPARGC1A;LEM6;PGC-1(alpha);PGC-1alpha;PGC-1v;PGC1;PGC1A;PPARGC1;PPARG coactivator 1 alpha;PGC1 alpha

数据库入口号Uniprot:Q9UBK2
GeneID:10891

Uniprot Q9UBK2

Gene ID 10891

计算分子量91KDa

实际分子量91KDa

配方"Liquid in 0.42% Potassium phosphate, 0.87% Sodium chloride, pH 7.3, 30% glycerol, and 0.01% sodium azide."

保存Store at -20˚C. Avoid freeze / thaw cycles.

应用详情

WB 1:500 - 1:1000
IHC 1:50 - 1:100
IF 1:50 - 1:100

Western blot analysis of extracts of various cell lines, using PGC1 alpha antibody.
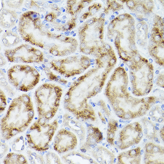
Immunohistochemistry of paraffin-embedded mouse kidney using PGC1 alpha Rabbit pAb.
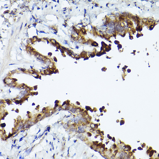
Immunohistochemistry of paraffin-embedded rat lung using PGC1 alpha Rabbit pAb.
Immunofluorescence analysis of U2OS cells using PGC1 alpha Rabbit pAb.
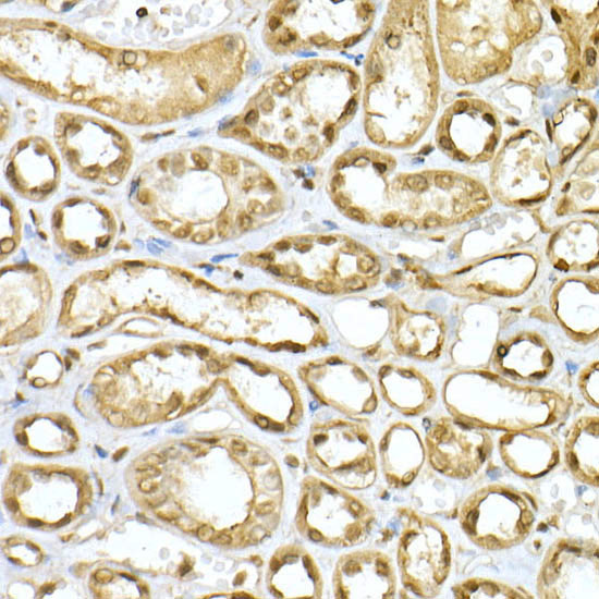
Immunohistochemistry analysis of paraffin-embedded Human kidney using PGC1α Rabbit pAb at dilution of 1:20 (40x lens).

The protein encoded by this gene is a transcriptional coactivator that regulates the genes involved in energy metabolism. This protein interacts with PPARgamma, which permits the interaction of this protein with multiple transcription factors. This protein can interact with, and regulate the activities of, cAMP response element binding protein (CREB) and nuclear respiratory factors (NRFs). It provides a direct link between external physiological stimuli and the regulation of mitochondrial biogenesis, and is a major factor that regulates muscle fiber type determination. This protein may be also involved in controlling blood pressure, regulating cellular cholesterol homoeostasis, and the development of obesity.

如果您使用该产品27583发表了文章,请通知我们,让我们可以引用您的文献。

et al,KDM3A Senses Oxygen Availability to Regulate PGC-1α-Mediated Mitochondrial Biogenesis , (2019),
PMID: 31629659
et al,A Novel CYP2E1 Inhibitor, 4‐Methyl‐5‐Acetylthiazole (Q11), Alleviates Obesity Via Modulating Adipose Inflammation and Mitochondrial Dysfunction , (2025),
PMID: 41420839

注释

应用

  • WB免疫印迹
  • IHC免疫组化
  • IF免疫荧光
  • ICC免疫细胞化学
  • FC流式细胞
  • IP免疫沉淀
  • E酶联免疫吸附法
  • DB免疫斑点法
  • ChIP染色质免疫沉淀
  • GICA胶体金免疫层析法
  • NC阴性对照

种属反应性

  • Hu
  • Ms小鼠
  • Rt大鼠
  • Dm果蝇
  • C线虫
  • Mk
  • Rb
  • B
  • D
  • P
  • Hm仓鼠
  • ChHm中国仓鼠
  • Chk
;

联系我们

Location :

南京市高新开发区星火路10号人才大厦C座

Phone :

400-9961-933
025-58868422

Email Address

info@sabbiotech.com