免费电话:400-9961-933
邮箱:info@sabbiotech.com
欢迎光临本站
川博智能体 English
位置: 首页 > 多克隆抗体 > COL1A1 Polyclonal Antibody

COL1A1 Polyclonal Antibody #28307

是否有货: Yes
产品详情

产品名称COL1A1 Polyclonal Antibody

来源种属Rabbit

克隆性Polyclonal

亚型IgG

纯化Affinity purification

应用WB,IHC,IF

种属反应性Human;Mouse;Rat

免疫原描述A synthetic peptide of human COL1A1 (NP_000079.2).

标记Unconjugated

别名COL1A1; EDSC; OI1; OI2; OI3; OI4; collagen alpha-1(I) chain

数据库入口号Swiss-Prot#:P02452
NCBI Gene ID:1277

Uniprot P02452

计算分子量139kDa

实际分子量130-160 kDa,210-250kDa

配方Avoid freeze / thaw cycles.|Buffer: PBS with 50% glycerol, pH7.4.

保存Store at -20˚C

应用详情
WB 1:500 - 1:1000
IHC 1:50 - 1:200
IF 1:50 - 1:200
Western blot analysis of extracts of various cell lines, using COL1A1 antibody.
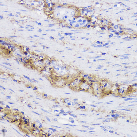
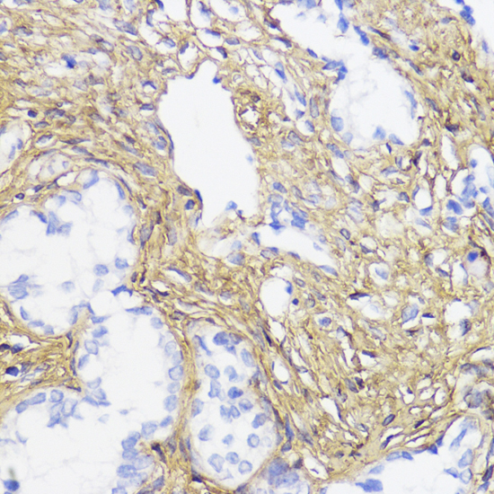
Immunohistochemistry of paraffin-embedded human colon carcinoma using COL1A1 antibody.
Immunohistochemistry of paraffin-embedded human placenta using COL1A1 antibody.
Immunohistochemistry of paraffin-embedded rat ovary using COL1A1 antibody.
Immunofluorescence analysis of rat ovary using COL1A1 antibody.
Immunofluorescence analysis of human breast cancer using COL1A1 antibody.
Immunofluorescence analysis of human breast cancer using COL1A1 antibody.
This gene encodes the pro-alpha1 chains of type I collagen whose triple helix comprises two alpha1 chains and one alpha2 chain. Type I is a fibril-forming collagen found in most connective tissues and is abundant in bone, cornea, dermis and tendon. Mutations in this gene are associated with osteogenesis imperfecta types I-IV, Ehlers-Danlos syndrome type VIIA, Ehlers-Danlos syndrome Classical type, Caffey Disease and idiopathic osteoporosis. Reciprocal translocations between chromosomes 17 and 22, where this gene and the gene for platelet-derived growth factor beta are located, are associated with a particular type of skin tumor called dermatofibrosarcoma protuberans, resulting from unregulated expression of the growth factor. Two transcripts, resulting from the use of alternate polyadenylation signals, have been identified for this gene.

如果您使用该产品28307发表了文章,请通知我们,让我们可以引用您的文献。

et al,Role of the CTRP6/AMPK pathway in kidney fibrosis through the promotion of fatty acid oxidation. In Eur J Pharmacol on 2021 Feb 5 by Yu-Hong Xie, Yi Xiao,et al..PMID:33245899 , (2021),
PMID: 33245899
et al,3D printed PGCL@PLA/10CSPL composite scaffolds loaded with fibronectin 1 for intervertebral disc degeneration treatment, In Biofabrication on 2024 Dec 13 by Weilin Zhang, Siyuan Chen,et al..PMID:39668784 , (2024),
PMID: 39668784

注释

应用

  • WB免疫印迹
  • IHC免疫组化
  • IF免疫荧光
  • ICC免疫细胞化学
  • FC流式细胞
  • IP免疫沉淀
  • E酶联免疫吸附法
  • DB免疫斑点法
  • ChIP染色质免疫沉淀
  • GICA胶体金免疫层析法
  • NC阴性对照

种属反应性

  • Hu
  • Ms小鼠
  • Rt大鼠
  • Dm果蝇
  • C线虫
  • Mk
  • Rb
  • B
  • D
  • P
  • Hm仓鼠
  • ChHm中国仓鼠
  • Chk
;

联系我们

Location :

南京市高新开发区星火路10号人才大厦C座

Phone :

400-9961-933
025-58868422

Email Address

info@sabbiotech.com