免费电话:400-9961-933
邮箱:info@sabbiotech.com
欢迎光临本站
川博智能体 English
位置: 首页 > 多克隆抗体 > ASCL4 Polyclonal Antibody

ASCL4 Polyclonal Antibody #28576

是否有货: Yes
产品详情

产品名称ASCL4 Polyclonal Antibody

来源种属Rabbit

克隆性Polyclonal

亚型IgG

纯化Affinity purification

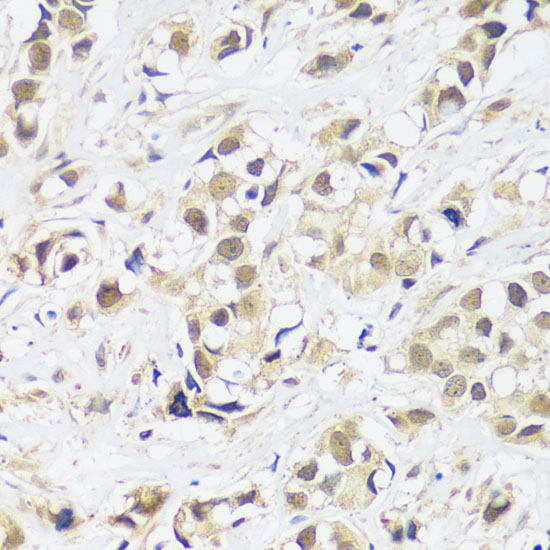
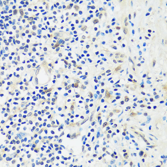
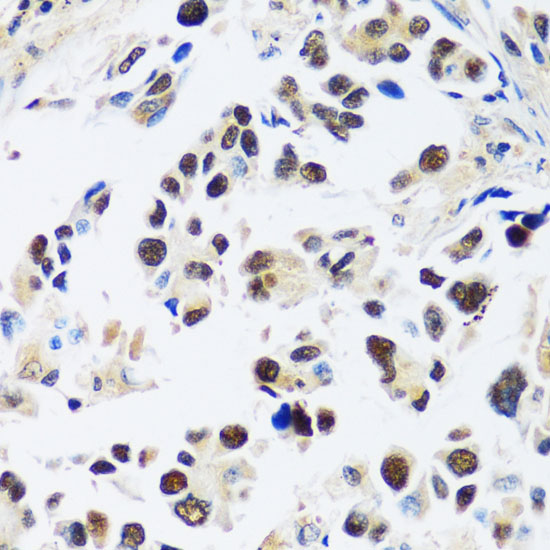
应用WB,IHC

种属反应性Human;Mouse;Rat

免疫原描述Recombinant fusion protein of human ASCL4 (NP_982260.2).

标记Unconjugated

别名ASCL4;HASH4;bHLHa44

数据库入口号Uniprot:Q6XD76
GeneID:121549

Uniprot Q6XD76

Gene ID 121549

计算分子量19kDa

实际分子量19kDa

配方PBS with 0.02% sodium azide,50% glycerol,pH7.3.

保存Store at -20˚C. Avoid freeze / thaw cycles.

应用详情
WB 1:500 - 1:2000
IHC 1:50 - 1:100
��Western blot analysis of extracts of various cell lines, using ASCL4 antibody ( A14439) at 1:1000 dilution.
Secondary antibody: HRP Goat Anti-Rabbit IgG (H+L) (AS014) at 1:10000 dilution.
Lysates/proteins: 25ug per lane.
Blocking buffer: 3% nonfat dry milk in TBST.
Basic helix-loop-helix transcription factors, such as ASCL4, are essential for the determination of cell fate and the development and differentiation of numerous tissues (Jonsson et al., 2004 [PubMed 15475265]).[supplied by OMIM, Mar 2008]

如果您使用该产品28576发表了文章,请通知我们,让我们可以引用您的文献。

et al,Classical prescription Daqinjiao decoction inhibit cerebral ischemia/reperfusion induced necroptosis and ferroptosis through multiple mechanisms. , (2025),
PMID: 39736347

注释

应用

  • WB免疫印迹
  • IHC免疫组化
  • IF免疫荧光
  • ICC免疫细胞化学
  • FC流式细胞
  • IP免疫沉淀
  • E酶联免疫吸附法
  • DB免疫斑点法
  • ChIP染色质免疫沉淀
  • GICA胶体金免疫层析法
  • NC阴性对照

种属反应性

  • Hu
  • Ms小鼠
  • Rt大鼠
  • Dm果蝇
  • C线虫
  • Mk
  • Rb
  • B
  • D
  • P
  • Hm仓鼠
  • ChHm中国仓鼠
  • Chk
;

联系我们

Location :

南京市高新开发区星火路10号人才大厦C座

Phone :

400-9961-933
025-58868422

Email Address

info@sabbiotech.com