免费电话:400-9961-933
邮箱:info@sabbiotech.com
欢迎光临本站
川博智能体 English
位置: 首页 > 多克隆抗体 > SLC7A2 Polyclonal Antibody

SLC7A2 Polyclonal Antibody #28626

是否有货: Yes
产品详情

产品名称SLC7A2 Polyclonal Antibody

来源种属Rabbit

克隆性Polyclonal

亚型IgG

纯化Affinity purification

应用WB,IHC

种属反应性Human;Mouse;Rat

免疫原描述A synthetic peptide of human SLC7A2 (NP_001008539.3).

标记Unconjugated

别名SLC7A2;ATRC2;CAT2;HCAT2

数据库入口号Uniprot:P52569
GeneID:6542

Uniprot P52569

Gene ID 6542

计算分子量72kDa

实际分子量72KDa

浓度1.56 mg/ml

配方PBS with 0.02% sodium azide,50% glycerol,pH7.3.

保存Store at -20˚C. Avoid freeze / thaw cycles.

应用详情
WB 1:500 - 1:2000
IHC 1:50 - 1:100
Western blot analysis of extracts of various cell lines, using SLC7A2 antibody.
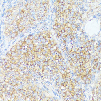
Immunohistochemistry of paraffin-embedded human mammary cancer using SLC7A2 antibody.
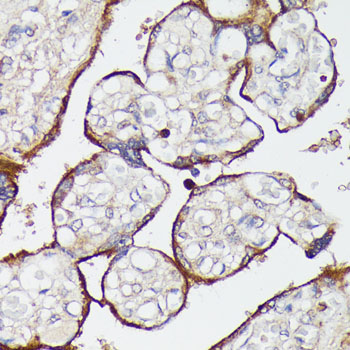
Immunohistochemistry of paraffin-embedded human placenta using SLC7A2 antibody.
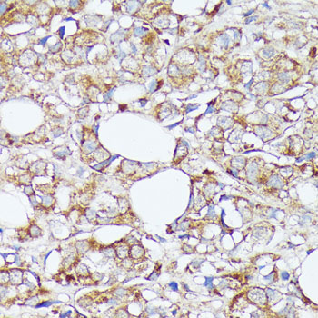
Immunohistochemistry of paraffin-embedded rat ovary using SLC7A2 antibody.
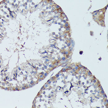
Immunohistochemistry of paraffin-embedded mouse testis using SLC7A2 antibody.
The protein encoded by this gene is a cationic amino acid transporter and a member of the APC (amino acid-polyamine-organocation) family of transporters. The encoded membrane protein is responsible for the cellular uptake of arginine, lysine and ornithine. Three transcript variants encoding different isoforms have been found for this gene.

如果您使用该产品28626发表了文章,请通知我们,让我们可以引用您的文献。

et al,Adaptively increased intake of arginine sustains oral keratinocyte survival through alleviating oxidative stress during targeting glutamine metabolism , (2025),
PMID: 40659135

注释

应用

  • WB免疫印迹
  • IHC免疫组化
  • IF免疫荧光
  • ICC免疫细胞化学
  • FC流式细胞
  • IP免疫沉淀
  • E酶联免疫吸附法
  • DB免疫斑点法
  • ChIP染色质免疫沉淀
  • GICA胶体金免疫层析法
  • NC阴性对照

种属反应性

  • Hu
  • Ms小鼠
  • Rt大鼠
  • Dm果蝇
  • C线虫
  • Mk
  • Rb
  • B
  • D
  • P
  • Hm仓鼠
  • ChHm中国仓鼠
  • Chk
;

联系我们

Location :

南京市高新开发区星火路10号人才大厦C座

Phone :

400-9961-933
025-58868422

Email Address

info@sabbiotech.com