免费电话:400-9961-933
邮箱:info@sabbiotech.com
欢迎光临本站
川博智能体 English
位置: 首页 > 多克隆抗体 > ACADSB Polyclonal Antibody

ACADSB Polyclonal Antibody #28805

是否有货: Yes
产品详情

产品名称ACADSB Polyclonal Antibody

来源种属Rabbit

克隆性Polyclonal

亚型IgG

纯化Affinity purification

应用IHC

种属反应性Human;Mouse;Rat

免疫原描述Recombinant fusion protein of human ACADSB (NP_001600.1).

标记Unconjugated

别名ACADSB;2-MEBCAD;ACAD7;SBCAD

数据库入口号Uniprot:P45954
GeneID:36

Uniprot P45954

Gene ID 36

计算分子量

实际分子量/

配方PBS with 0.02% sodium azide,50% glycerol,pH7.3.

保存Store at -20˚C. Avoid freeze / thaw cycles.

应用详情
IHC 1:50 - 1:200
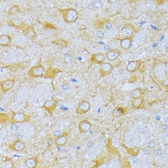
Immunohistochemistry of paraffin-embedded rat brain using ACADSB antibody.
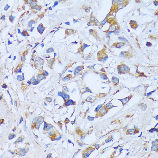
Immunohistochemistry of paraffin-embedded human breast cancer using ACADSB antibody.
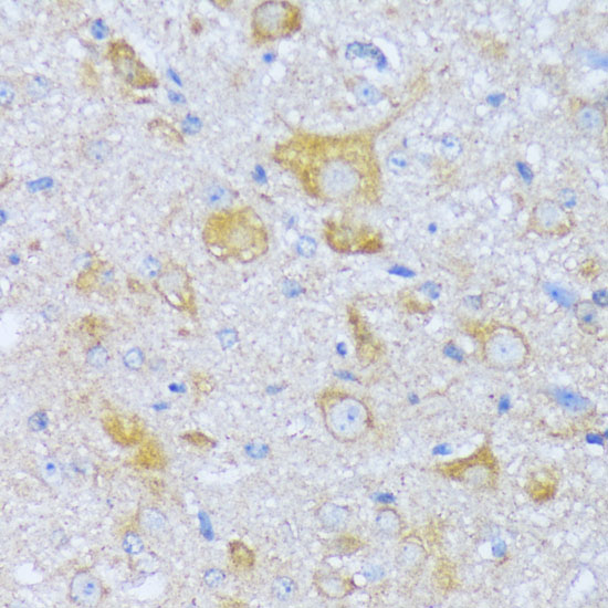
Immunohistochemistry of paraffin-embedded mouse spinal cord using ACADSB antibody.
Short/branched chain acyl-CoA dehydrogenase(ACADSB) is a member of the acyl-CoA dehydrogenase family of enzymes that catalyze the dehydrogenation of acyl-CoA derivatives in the metabolism of fatty acids or branch chained amino acids. Substrate specificity is the primary characteristic used to define members of this gene family. The ACADSB gene product has the greatest activity towards the short branched chain acyl-CoA derivative, (S)-2-methylbutyryl-CoA, but also reacts significantly with other 2-methyl branched chain substrates and with short straight chain acyl-CoAs. The cDNA encodes for a mitochondrial precursor protein which is cleaved upon mitochondrial import and predicted to yield a mature peptide of approximately 43.7-KDa.

如果您使用该产品28805发表了文章,请通知我们,让我们可以引用您的文献。

et al,A Newly Established Cuproptosis-Related Gene Signature for Predicting Prognosis and Immune Infiltration in Uveal MelanomaInInt J Mol SciOn2023 Jul 12byWei Huang?1?2,?Fan Yang et al..PMID:?37511120 , (2023),
PMID: 37511120

注释

应用

  • WB免疫印迹
  • IHC免疫组化
  • IF免疫荧光
  • ICC免疫细胞化学
  • FC流式细胞
  • IP免疫沉淀
  • E酶联免疫吸附法
  • DB免疫斑点法
  • ChIP染色质免疫沉淀
  • GICA胶体金免疫层析法
  • NC阴性对照

种属反应性

  • Hu
  • Ms小鼠
  • Rt大鼠
  • Dm果蝇
  • C线虫
  • Mk
  • Rb
  • B
  • D
  • P
  • Hm仓鼠
  • ChHm中国仓鼠
  • Chk
;

联系我们

Location :

南京市高新开发区星火路10号人才大厦C座

Phone :

400-9961-933
025-58868422

Email Address

info@sabbiotech.com