免费电话:400-9961-933
邮箱:info@sabbiotech.com
欢迎光临本站
川博智能体 English
位置: 首页 > 多克隆抗体 > TLR4 Polyclonal Antibody

TLR4 Polyclonal Antibody #29072

是否有货: Yes
产品详情

产品名称TLR4 Polyclonal Antibody

来源种属Rabbit

克隆性Polyclonal

亚型IgG

纯化Affinity purification

应用WB,IF

种属反应性Human;Mouse

免疫原描述A synthetic peptide of human TLR4 (NP_612564.1).

标记Unconjugated

别名TLR4;ARMD10;CD284;TLR-4;TOLL

数据库入口号GeneID:7099
Swiss Prot:O00206

Uniprot O00206

计算分子量73kDa/91kDa/95kDa

实际分子量110kDa

浓度1.0mg/ml

配方Supplied at 1.0mg/mL in phosphate buffered saline (without Mg2+ and Ca2+), pH 7.4, 150mM NaCl, 0.02% sodium azide and 161% glycerol.

保存Store at -20˚C. Avoid freeze / thaw cycles.|Buffer: PBS with 0.02% sodium azide,50% glycerol,pH7.114.

应用详情

WB 1:500 - 1:2000
IHC 1:50 - 1:200
IF 1:50 - 1:200

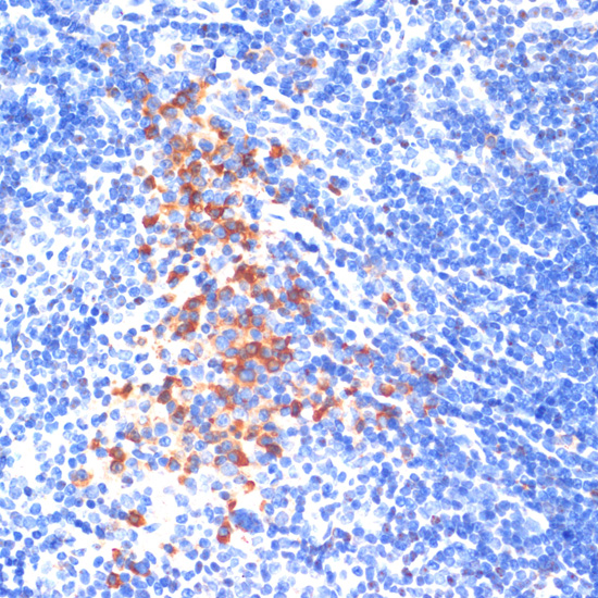
Immunohistochemistry of paraffin-embedded mouse spleen using TLR4 antibody at dilution of 1:100 .
Western blot analysis of extracts of various cell lines, using TLR4 antibody at 1:1000 dilution.
Immunofluorescence analysis of NIH-3T3 cells using TLR4 Polyclonal Antibody at dilution of 1:100 . Blue: DAPI for nuclear staining.
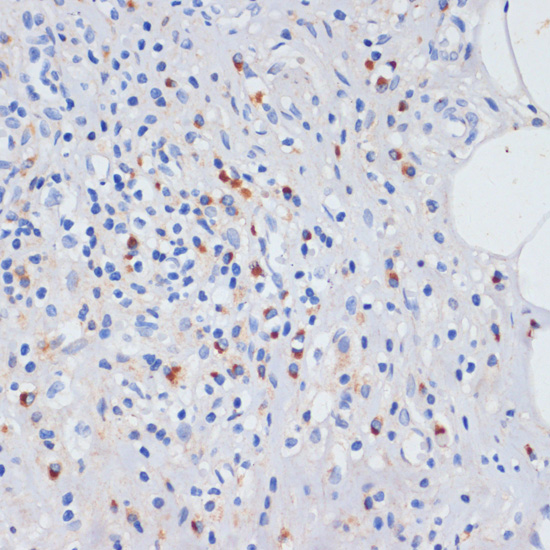
Immunohistochemistry of paraffin-embedded human appendix using TLR4 antibody at dilution of 1:100 .

The protein encoded by this gene is a member of the Toll-like receptor (TLR) family which plays a fundamental role in pathogen recognition and activation of innate immunity. TLRs are highly conserved from Drosophila to humans and share structural and functional similarities. They recognize pathogen-associated molecular patterns that are expressed on infectious agents, and mediate the production of cytokines necessary for the development of effective immunity. The various TLRs exhibit different patterns of expression. This receptor has been implicated in signal transduction events induced by lipopolysaccharide (LPS) found in most gram-negative bacteria. Mutations in this gene have been associated with differences in LPS responsiveness. Multiple transcript variants encoding different isoforms have been found for this gene.

如果您使用该产品29072发表了文章,请通知我们,让我们可以引用您的文献。

et al,The Extracts of Angelica sinensis and Cinnamomum cassia from Oriental Medicinal Foods Regulate Inflammatory and Autophagic Pathways against Neural Injury after Ischemic Stroke. In Oxid Med Cell Longev on 2021 Jun 26 by Cheng Luo, Qi Chen,et al..PMID:34257822 , (2021),
PMID: 34257822
et al,Melatonin Attenuates LPS-Induced Proinflammatory Cytokine Response and Lipogenesis in Human Meibomian Gland Epithelial Cells via MAPK/NF-κB Pathway. In Invest Ophthalmol Vis Sci on 2022 May 2 by Ren Liu, Jing Li, et al..PMID:35506935 , (2022),
PMID: 35506935
et al,Combined Administration of Curcumin and Chondroitin Sulfate Alleviates Cartilage Injury and Inflammation via NF-κB Pathway in Knee Osteoarthritis Rats. In Front Pharmacol on 2022 May 19 by Ting Guan, Liu-Gang Ding, et al..PMID: 35662715 , (2022),
PMID: 35662715
et al,Perihematomal Neurovascular Protection: Blocking HSP90 Reduces Blood Infiltration Associated with Inflammatory Effects Following Intracerebral Hemorrhage in Rates. In Transl Stroke Res on 2024 Sep 4 by Di Hu, Chao Yan,et al..PMID:39230786 , (2024),
PMID: 39230786

注释

应用

  • WB免疫印迹
  • IHC免疫组化
  • IF免疫荧光
  • ICC免疫细胞化学
  • FC流式细胞
  • IP免疫沉淀
  • E酶联免疫吸附法
  • DB免疫斑点法
  • ChIP染色质免疫沉淀
  • GICA胶体金免疫层析法
  • NC阴性对照

种属反应性

  • Hu
  • Ms小鼠
  • Rt大鼠
  • Dm果蝇
  • C线虫
  • Mk
  • Rb
  • B
  • D
  • P
  • Hm仓鼠
  • ChHm中国仓鼠
  • Chk
;

联系我们

Location :

南京市高新开发区星火路10号人才大厦C座

Phone :

400-9961-933
025-58868422

Email Address

info@sabbiotech.com