免费电话:400-9961-933
邮箱:info@sabbiotech.com
欢迎光临本站
川博智能体 English
位置: 首页 > 多克隆抗体 > LC3B Polyclonal Antibody

LC3B Polyclonal Antibody #29075

是否有货: Yes
产品详情

产品名称LC3B Polyclonal Antibody

来源种属Rabbit

克隆性Polyclonal

亚型IgG

纯化Affinity purification

应用WB,IHC,IF

种属反应性Human;Mouse;Rat

免疫原描述A synthetic peptide of human LC3B (NP_073729.1).

标记Unconjugated

别名LC3B;ATG8F;MAP1LC3B-a;MAP1A/1BLC3;MAP1LC3B;LC3A/LC3B

数据库入口号GeneID:81631
Swiss Prot:Q9GZQ8

Uniprot Q9GZQ8

计算分子量14kDa

实际分子量14kDa/15kDa

浓度1.0mg/ml

配方Supplied at 1.0mg/mL in phosphate buffered saline (without Mg2+ and Ca2+), pH 7.4, 150mM NaCl, 0.02% sodium azide and 173% glycerol.

保存Store at -20˚C. Avoid freeze / thaw cycles.|Buffer: PBS with 0.02% sodium azide,50% glycerol,pH7.126.

应用详情
WB 1:500 - 1:2000
IHC 1:50 - 1:200
IF 1:50 - 1:200
Immunofluorescence analysis of LC3B knockout 293T cells treated by chloroquine and wild-type 293T cells ��wild-type 293T cells treated by chloroquine using LC3B Rabbit pAb at dilution of 1:100. Blue: DAPI for nuclear staining.
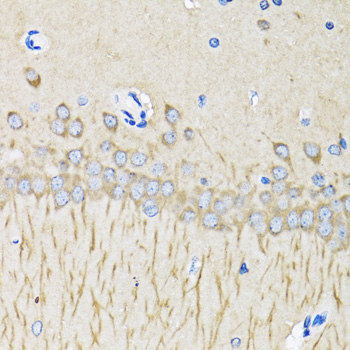
Immunohistochemistry of paraffin-embedded mouse brain using LC3B antibody at dilution of 1:100 .
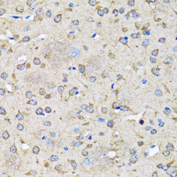
Immunohistochemistry of paraffin-embedded rat brain using LC3B antibody at dilution of 1:100 .
Western blot analysis of extracts of 293T cells, using LC3B antibody at 1:1000 dilution.293T cells were treated by Chloroquine at 37�� for 20 hours.
Western blot analysis of extracts of various cell lines, using LC3B antibody at 1:1000 dilution.
The product of this gene is a subunit of neuronal microtubule-associated MAP1A and MAP1B proteins, which are involved in microtubule assembly and important for neurogenesis. Studies on the rat homolog implicate a role for this gene in autophagy, a process that involves the bulk degradation of cytoplasmic component.

如果您使用该产品29075发表了文章,请通知我们,让我们可以引用您的文献。

et al,The AMPK-dependent inhibition of autophagy plays a crucial role in protecting photoreceptor from photooxidative injury In J Photochem Photobiol B On2023 AugbyYu-Lin Li , Tian-Zi Zhang et al..PMID:37302163 , (2023),
PMID: 37302156
et al,Cannabinoid receptor-2 attenuates neuroinflammation by promoting autophagy-mediated degradation of the NLRP3 inflammasome post spinal cord injury , (2022),
PMID: 36238284

注释

应用

  • WB免疫印迹
  • IHC免疫组化
  • IF免疫荧光
  • ICC免疫细胞化学
  • FC流式细胞
  • IP免疫沉淀
  • E酶联免疫吸附法
  • DB免疫斑点法
  • ChIP染色质免疫沉淀
  • GICA胶体金免疫层析法
  • NC阴性对照

种属反应性

  • Hu
  • Ms小鼠
  • Rt大鼠
  • Dm果蝇
  • C线虫
  • Mk
  • Rb
  • B
  • D
  • P
  • Hm仓鼠
  • ChHm中国仓鼠
  • Chk
;

联系我们

Location :

南京市高新开发区星火路10号人才大厦C座

Phone :

400-9961-933
025-58868422

Email Address

info@sabbiotech.com