免费电话:400-9961-933
邮箱:info@sabbiotech.com
欢迎光临本站
川博智能体 English
位置: 首页 > 多克隆抗体 > Nestin Polyclonal Antibody

Nestin Polyclonal Antibody #29097

是否有货: Yes
产品详情

产品名称Nestin Polyclonal Antibody

来源种属Rabbit

克隆性Polyclonal

亚型IgG

纯化Affinity purification

应用WB,IF,IHC

种属反应性Human;Mouse;Rat

免疫原描述A synthetic peptide corresponding to a sequence within amino acids 1392-1621 of human NES (NP_006608.1).

标记Unconjugated

别名NES;Nbla00170;nestin;Nestin

数据库入口号Uniprot:P48681
GeneID:10763

Uniprot P48681

Gene ID 10763

计算分子量177 kDa

实际分子量150/177 kDa

浓度1.0mg/ml

配方PBS with 0.09% Sodium azide, 50% glycerol, pH7.3.

保存Store at -20˚C. Avoid freeze / thaw cycles.

应用详情
WB 1:500 - 1:1000;
IHC 1:50 - 1:200;
IF 1:50 - 1:200
Western blot analysis of lysates from Neuro-2a cells, using Nestin Polyclonal Antibody at 1:1000 dilution.
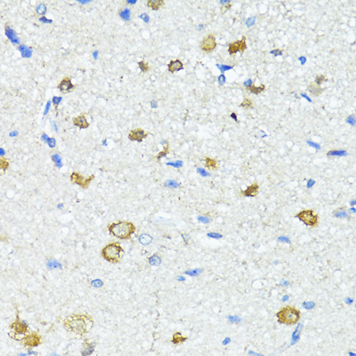
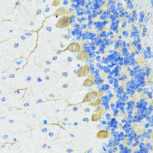
Immunohistochemistry analysis of paraffin-embedded Mouse brain using Nestin Polyclonal Antibody at dilution of 100 (40x lens).
Immunohistochemistry analysis of paraffin-embedded Rat brain using Nestin Polyclonal Antibody at dilution of 100 (40x lens).
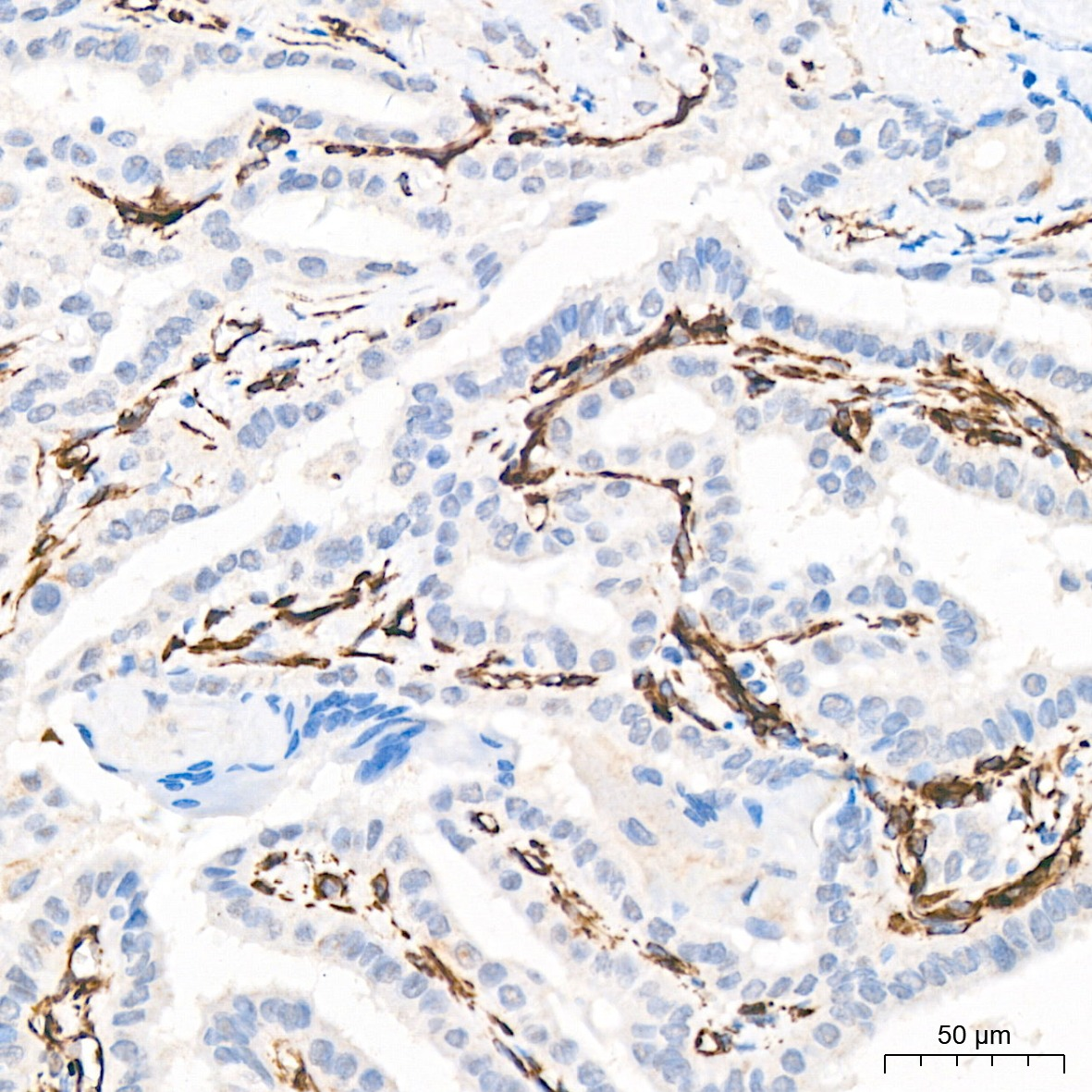
Immunohistochemistry analysis of paraffin-embedded Human thyroid cancer tissue using Nestin Polyclonal Antibody at a dilution of 1:1000 (40x lens).
Immunohistochemistry analysis of paraffin-embedded Human spleen tissue using Nestin Polyclonal Antibody at a dilution of 1:1000 (40x lens).
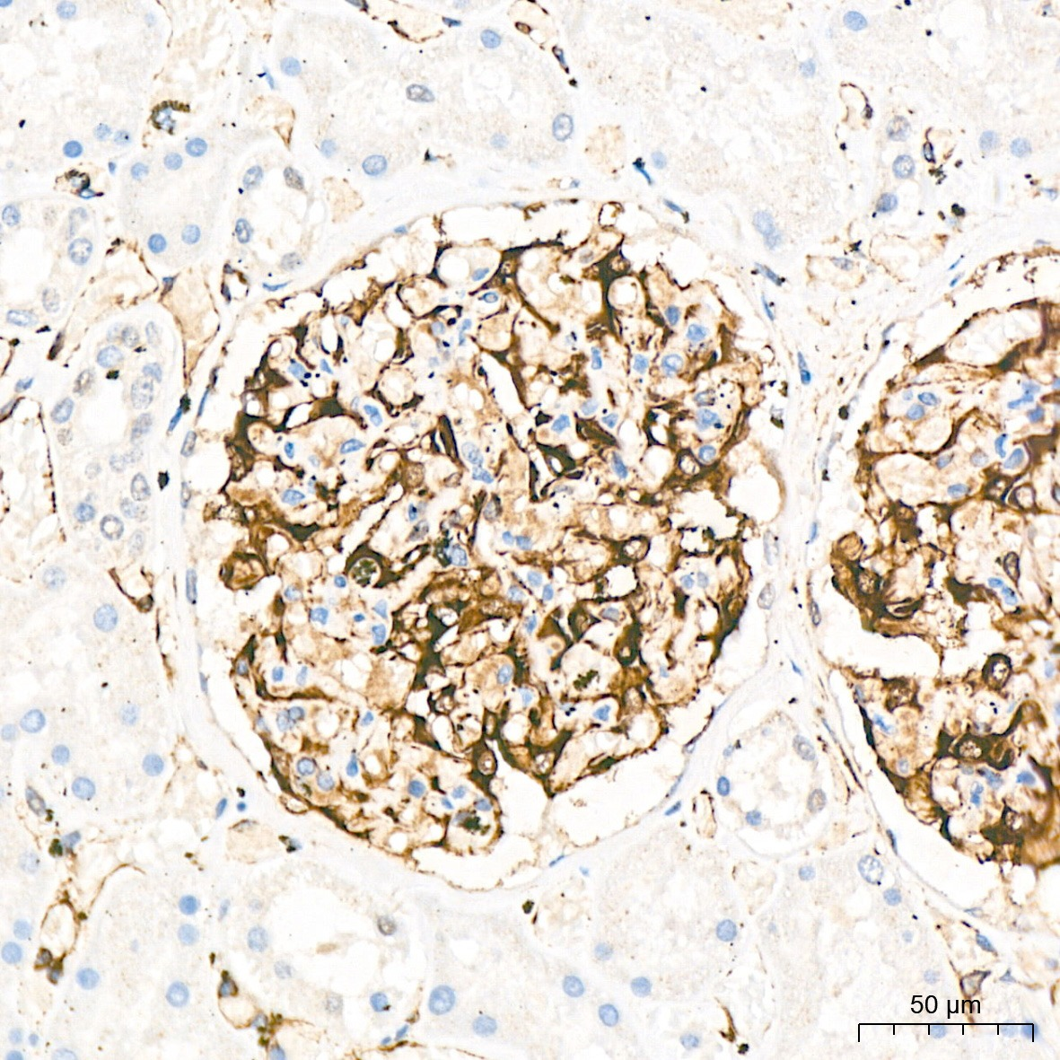
Immunohistochemistry analysis of paraffin-embedded Human kidney tissue using Nestin Polyclonal Antibody at a dilution of 1:1000 (40x lens).
Immunofluorescence analysis of Neuro-2a cells using Nestin Polyclonal Antibody at dilution of 1:50 (40x lens).

This gene encodes a member of the intermediate filament protein family and is expressed primarily in nerve cells.

如果您使用该产品29097发表了文章,请通知我们,让我们可以引用您的文献。

et al,Naoxinqing tablet protects against cerebral ischemic/reperfusion injury by regulating ampkα/NAMPT/SIRT1/PGC-1α pathwayInJ EthnopharmacolOn2024 Mar 25byXiao Sun?1,?Yunfeng Pan et al..PMID:?38159826 , (2023),
PMID: 38159826
et al,Naoxinqing tablet protects against cerebral ischemic/reperfusion injury by regulating ampkα/NAMPT/SIRT1/PGC-1α pathway. In J Ethnopharmacol on 2024 Mar 25 by Xiao Sun, Yunfeng Pan,et al..PMID:38159826 , (2024),
PMID: 38159826

注释

应用

  • WB免疫印迹
  • IHC免疫组化
  • IF免疫荧光
  • ICC免疫细胞化学
  • FC流式细胞
  • IP免疫沉淀
  • E酶联免疫吸附法
  • DB免疫斑点法
  • ChIP染色质免疫沉淀
  • GICA胶体金免疫层析法
  • NC阴性对照

种属反应性

  • Hu
  • Ms小鼠
  • Rt大鼠
  • Dm果蝇
  • C线虫
  • Mk
  • Rb
  • B
  • D
  • P
  • Hm仓鼠
  • ChHm中国仓鼠
  • Chk
;

联系我们

Location :

南京市高新开发区星火路10号人才大厦C座

Phone :

400-9961-933
025-58868422

Email Address

info@sabbiotech.com