免费电话:400-9961-933
邮箱:info@sabbiotech.com
欢迎光临本站
川博智能体 English
位置: 首页 > 多克隆抗体 > HMGCS2 Polyclonal Antibody

HMGCS2 Polyclonal Antibody #29188

是否有货: Yes
产品详情

产品名称HMGCS2 Polyclonal Antibody

来源种属Rabbit

克隆性Polyclonal

亚型IgG

纯化Affinity purification

应用WB,IHC,IF

种属反应性Human;Mouse;Rat

免疫原描述Recombinant fusion protein of human HMGCS2 (NP_005509.1).

标记Unconjugated

别名HMGCS2

数据库入口号GeneID:3158
Swiss Prot:P54868

Uniprot P54868

计算分子量50kDa/52kDa/56kDa

实际分子量50kDa

浓度1.0mg/ml

配方Supplied at 1.0mg/mL in phosphate buffered saline (without Mg2+ and Ca2+), pH 7.4, 150mM NaCl, 0.02% sodium azide and 81% glycerol.

保存Store at -20˚C. Avoid freeze / thaw cycles.|Buffer: PBS with 0.02% sodium azide,50% glycerol,pH7.34.

应用详情
WB 1:500 - 1:2000
IHC 1:50 - 1:100
IF 1:50 - 1:100
Western blot analysis of extracts of various cell lines, using HMGCS2 antibody at 1:1000 dilution.
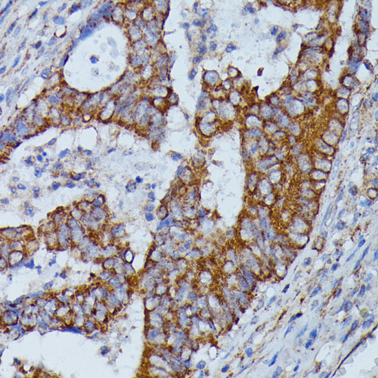
Immunohistochemistry of paraffin-embedded human thyroid cancer using HMGCS2 antibody at dilution of 1:100 .
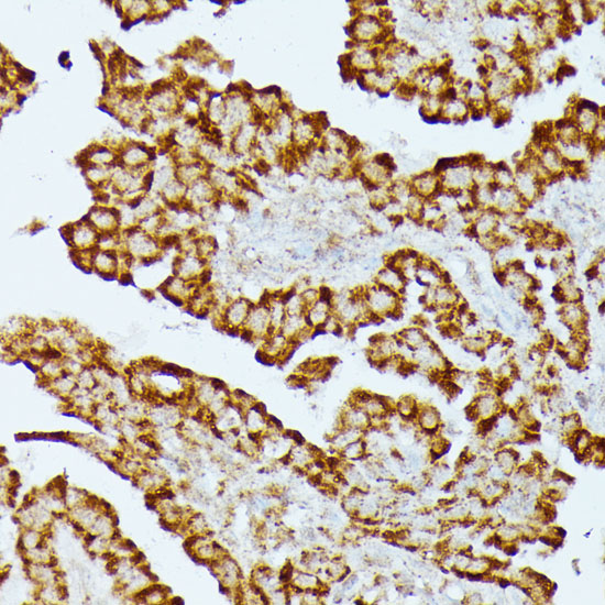
Immunohistochemistry of paraffin-embedded human colon carcinoma using HMGCS2 antibody at dilution of 1:100 .
Immunofluorescence analysis of rat liver using HMGCS2 Polyclonal Antibody at dilution of 1:100 . Blue: DAPI for nuclear staining.
Immunofluorescence analysis of human liver using HMGCS2 Polyclonal Antibody at dilution of 1:100 . Blue: DAPI for nuclear staining.
Immunofluorescence analysis of mouse liver using HMGCS2 Polyclonal Antibody at dilution of 1:100 . Blue: DAPI for nuclear staining.
The protein encoded by this gene belongs to the HMG-CoA synthase family. It is a mitochondrial enzyme that catalyzes the first reaction of ketogenesis, a metabolic pathway that provides lipid-derived energy for various organs during times of carbohydrate deprivation, such as fasting. Mutations in this gene are associated with HMG-CoA synthase deficiency. Alternatively spliced transcript variants encoding different isoforms have been found for this gene.

如果您使用该产品29188发表了文章,请通知我们,让我们可以引用您的文献。

et al,Quantitative proteomics analysis based on data-independent acquisition reveals the effect of Shenling Baizhu powder (SLP) on protein expression in MAFLD rat liver tissueInClin ProteomicsOn2023 Dec 1bySufei Song?1,?Jixian Zheng?2 et al..PMID:?38036981 , (2023),
PMID: 38036981

注释

应用

  • WB免疫印迹
  • IHC免疫组化
  • IF免疫荧光
  • ICC免疫细胞化学
  • FC流式细胞
  • IP免疫沉淀
  • E酶联免疫吸附法
  • DB免疫斑点法
  • ChIP染色质免疫沉淀
  • GICA胶体金免疫层析法
  • NC阴性对照

种属反应性

  • Hu
  • Ms小鼠
  • Rt大鼠
  • Dm果蝇
  • C线虫
  • Mk
  • Rb
  • B
  • D
  • P
  • Hm仓鼠
  • ChHm中国仓鼠
  • Chk
;

联系我们

Location :

南京市高新开发区星火路10号人才大厦C座

Phone :

400-9961-933
025-58868422

Email Address

info@sabbiotech.com