免费电话:400-9961-933
邮箱:info@sabbiotech.com
欢迎光临本站
川博智能体 English
位置: 首页 > 多克隆抗体 > TREM2 Polyclonal Antibody

TREM2 Polyclonal Antibody #29208

是否有货: Yes
产品详情

产品名称TREM2 Polyclonal Antibody

来源种属Rabbit

克隆性Polyclonal

亚型IgG

纯化Affinity purification

应用WB,IHC,IF

种属反应性Human;Mouse;Rat

免疫原描述Recombinant fusion protein of human TREM2 (NP_061838.1).

标记Unconjugated

别名TREM2;TREM-2;Trem2a;Trem2b;Trem2c

数据库入口号GeneID:54209
Swiss Prot:Q9NZC2

Uniprot Q9NZC2

计算分子量24kDa/25kDa

实际分子量25kDa

浓度1.0mg/ml

配方Supplied at 1.0mg/mL in phosphate buffered saline (without Mg2+ and Ca2+), pH 7.4, 150mM NaCl, 0.02% sodium azide and 104% glycerol.

保存Store at -20˚C. Avoid freeze / thaw cycles.|Buffer: PBS with 0.02% sodium azide,50% glycerol,pH7.57.

应用详情
WB 1:500 - 1:1000
IHC 1:50 - 1:200
IF 1:20 - 1:100
Immunohistochemistry of paraffin-embedded human gastric cancer using TREM2 antibody at dilution of 1:200 .
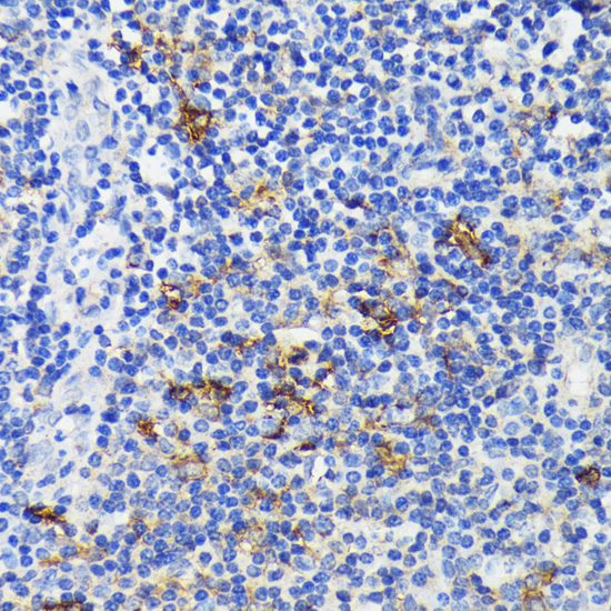
Immunohistochemistry of paraffin-embedded mouse spleen using TREM2 antibody at dilution of 1:200 .
Immunofluorescence analysis of mouse lung cells using TREM2 antibody at dilution of 1:100. Blue: DAPI for nuclear staining.
Immunofluorescence analysis of U-251MG cells using TREM2 antibody at dilution of 1:100. Blue: DAPI for nuclear staining.
Western blot analysis of extracts of Mouse brain, using TREM2 antibody at 1:1000 dilution.
Immunofluorescence analysis of Rat lung using TREM2 antibody at dilution of 1:100. Blue: DAPI for nuclear staining.
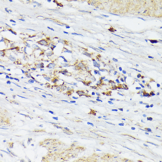
Immunohistochemistry of paraffin-embedded human tonsil using TREM2 antibody at dilution of 1:200 .
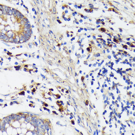
Immunohistochemistry of paraffin-embedded human colon carcinoma using TREM2 antibody at dilution of 1:200 .
This gene encodes a membrane protein that forms a receptor signaling complex with the TYRO protein tyrosine kinase binding protein. The encoded protein functions in immune response and may be involved in chronic inflammation by triggering the production of constitutive inflammatory cytokines. Defects in this gene are a cause of polycystic lipomembranous osteodysplasia with sclerosing leukoencephalopathy (PLOSL). Alternative splicing results in multiple transcript variants encoding different isoforms.

如果您使用该产品29208发表了文章,请通知我们,让我们可以引用您的文献。

et al,Targeting microglial autophagic degradation of the NLRP3 inflammasome for identification of thonningianin A in Alzheimer's disease. In Inflamm Regen on 2022 Aug 3 by Xiao-Gang Zhou, Wen-Qiao Qiu,et al..PMID:35918778 , (2022),
PMID: 35918778
et al,Response‐adapted zanubrutinib and tislelizumab as a potential strategy to enhance CD19 CAR T‐cell therapy in relapsed/refractory large B‐cell lymphoma: A … , (2025),
PMID: 40268516

注释

应用

  • WB免疫印迹
  • IHC免疫组化
  • IF免疫荧光
  • ICC免疫细胞化学
  • FC流式细胞
  • IP免疫沉淀
  • E酶联免疫吸附法
  • DB免疫斑点法
  • ChIP染色质免疫沉淀
  • GICA胶体金免疫层析法
  • NC阴性对照

种属反应性

  • Hu
  • Ms小鼠
  • Rt大鼠
  • Dm果蝇
  • C线虫
  • Mk
  • Rb
  • B
  • D
  • P
  • Hm仓鼠
  • ChHm中国仓鼠
  • Chk
;

联系我们

Location :

南京市高新开发区星火路10号人才大厦C座

Phone :

400-9961-933
025-58868422

Email Address

info@sabbiotech.com