免费电话:400-9961-933
邮箱:info@sabbiotech.com
欢迎光临本站
川博智能体 English
位置: 首页 > 多克隆抗体 > LC3A / LC3B Polyclonal Antibody

LC3A / LC3B Polyclonal Antibody #29357

是否有货: Yes
产品详情

产品名称LC3A / LC3B Polyclonal Antibody

来源种属Rabbit

克隆性Polyclonal

亚型IgG

纯化Affinity purification

应用WB,IHC

种属反应性Human;Mouse

免疫原描述Recombinant fusion protein of human LC3A / LC3B (NP_073729.1).

标记Unconjugated

别名MAP1LC3B;ATG8F;LC3B;MAP1A/1BLC3;MAP1LC3B-a;MAP1LC3A;ATG8E;LC3;LC3A;MAP1ALC3;MAP1BLC3;LC3A/LC3B

数据库入口号Uniprot:Q9GZQ8/Q9H492
GeneID:84557/81631

Uniprot Q9GZQ8/Q9H492

Gene ID 84557/81631

计算分子量14kDa, 16kDa

实际分子量14kDa, 16kDa

配方PBS with 0.02% sodium azide,50% glycerol,pH7.3.

保存Store at -20˚C. Avoid freeze / thaw cycles.

应用详情
WB 1:500 - 1:2000
IHC 1:50 - 1:200
Western blot analysis of extracts of various cell lines, using LC3A/LC3B antibody.
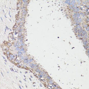
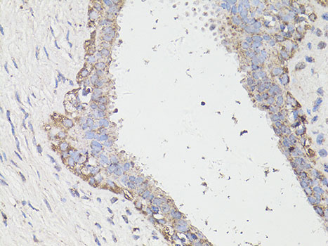
Immunohistochemistry of paraffin-embedded human breast cancer using LC3A / LC3B antibody.
Immunohistochemistry of paraffin-embedded human gastric cancer using LC3A / LC3B antibody.
Immunohistochemistry of paraffin-embedded human mammary cancer using LC3A / LC3B antibody.
The product of this gene is a subunit of neuronal microtubule-associated MAP1A and MAP1B proteins, which are involved in microtubule assembly and important for neurogenesis. Studies on the rat homolog implicate a role for this gene in autophagy, a process that involves the bulk degradation of cytoplasmic component.

如果您使用该产品29357发表了文章,请通知我们,让我们可以引用您的文献。

et al,The Anti-Senescence Effect and Mechanism of 17β-Estradiol on Pelvic Organ Prolapse Derived Fibroblasts , (2025),
PMID:

注释

应用

  • WB免疫印迹
  • IHC免疫组化
  • IF免疫荧光
  • ICC免疫细胞化学
  • FC流式细胞
  • IP免疫沉淀
  • E酶联免疫吸附法
  • DB免疫斑点法
  • ChIP染色质免疫沉淀
  • GICA胶体金免疫层析法
  • NC阴性对照

种属反应性

  • Hu
  • Ms小鼠
  • Rt大鼠
  • Dm果蝇
  • C线虫
  • Mk
  • Rb
  • B
  • D
  • P
  • Hm仓鼠
  • ChHm中国仓鼠
  • Chk
;

联系我们

Location :

南京市高新开发区星火路10号人才大厦C座

Phone :

400-9961-933
025-58868422

Email Address

info@sabbiotech.com