免费电话:400-9961-933
邮箱:info@sabbiotech.com
欢迎光临本站
川博智能体 English
位置: 首页 > 多克隆抗体 > UBQLN4 Polyclonal Antibody

UBQLN4 Polyclonal Antibody #29463

是否有货: Yes
产品详情

产品名称UBQLN4 Polyclonal Antibody

来源种属Rabbit

克隆性Polyclonal

亚型IgG

纯化Affinity purification

应用WB,IHC,IF

种属反应性Human;Mouse;Rat

免疫原描述Recombinant fusion protein of human UBQLN4 (NP_064516.2).

标记Unconjugated

别名UBQLN4;A1U;A1Up;C1orf6;CIP75;UBIN

数据库入口号Uniprot:Q9NRR5
GeneID:56893

Uniprot Q9NRR5

Gene ID 56893

计算分子量75kDa

实际分子量75KDa

配方PBS with 0.02% sodium azide,50% glycerol,pH7.3.

保存Store at -20˚C. Avoid freeze / thaw cycles.

应用详情
WB 1:500 - 1:2000
IHC 1:50 - 1:200
IF 1:50 - 1:200
Western blot analysis of extracts of various cell lines, using UBQLN4 antibody.
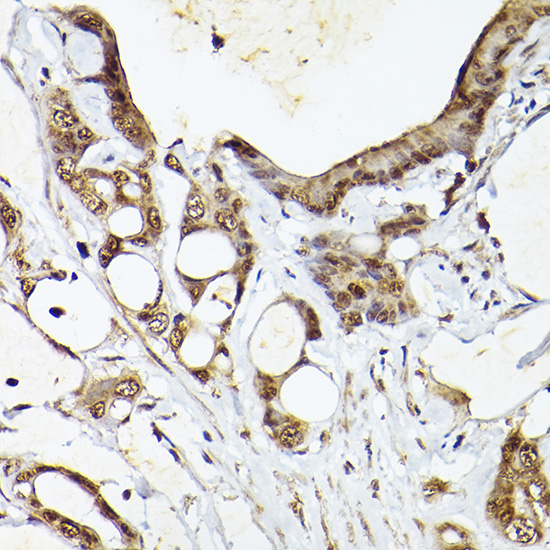
Immunohistochemistry of paraffin-embedded human colon carcinoma using UBQLN4 Rabbit pAb.
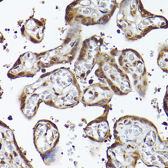
Immunohistochemistry of paraffin-embedded human placenta using UBQLN4 Rabbit pAb.
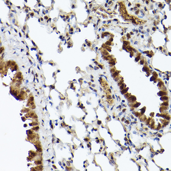
Immunohistochemistry of paraffin-embedded mouse lung using UBQLN4 Rabbit pAb.
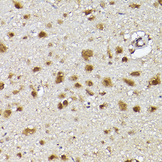
Immunohistochemistry of paraffin-embedded rat brain using UBQLN4 Rabbit pAb.
Immunofluorescence analysis of PC-12 cells using UBQLN4 Rabbit pAb.
Regulator of protein degradation that mediates the proteasomal targeting of misfolded, mislocalized or accumulated proteins. Acts by binding polyubiquitin chains of target proteins via its UBA domain and by interacting with subunits of the proteasome via its ubiquitin-like domain. Key regulator of DNA repair that represses homologous recombination repair: in response to DNA damage, recruited to sites of DNA damage following phosphorylation by ATM and acts by binding and removing ubiquitinated MRE11 from damaged chromatin, leading to MRE11 degradation by the proteasome. MRE11 degradation prevents homologous recombination repair, redirecting double-strand break repair toward non-homologous end joining (NHEJ. Specifically recognizes and binds mislocalized transmembrane-containing proteins and targets them to proteasomal degradation. Collaborates with DESI1/POST in the export of ubiquitinated proteins from the nucleus to the cytoplasm. Also plays a role in the regulation of the proteasomal degradation of non-ubiquitinated GJA1 (By similarity. Acts as an adapter protein that recruits UBQLN1 to the autophagy machinery. Mediates the association of UBQLN1 with autophagosomes and the autophagy-related protein LC3 (MAP1LC3A/B/C and may assist in the maturation of autophagosomes to autolysosomes by mediating autophagosome-lysosome fusion.

如果您使用该产品29463发表了文章,请通知我们,让我们可以引用您的文献。

et al,E3 ubiquitin ligase Smurf1 promotes cardiomyocyte pyroptosis by mediating ubiquitin-dependent degradation of TRIB2 in a rat model of heart failure , (2025),
PMID: 39749701

注释

应用

  • WB免疫印迹
  • IHC免疫组化
  • IF免疫荧光
  • ICC免疫细胞化学
  • FC流式细胞
  • IP免疫沉淀
  • E酶联免疫吸附法
  • DB免疫斑点法
  • ChIP染色质免疫沉淀
  • GICA胶体金免疫层析法
  • NC阴性对照

种属反应性

  • Hu
  • Ms小鼠
  • Rt大鼠
  • Dm果蝇
  • C线虫
  • Mk
  • Rb
  • B
  • D
  • P
  • Hm仓鼠
  • ChHm中国仓鼠
  • Chk
;

联系我们

Location :

南京市高新开发区星火路10号人才大厦C座

Phone :

400-9961-933
025-58868422

Email Address

info@sabbiotech.com