免费电话:400-9961-933
邮箱:info@sabbiotech.com
欢迎光临本站
川博智能体 English
位置: 首页 > 鼠单克隆抗体 > CD31 Mouse Monoclonal Antibody

CD31 Mouse Monoclonal Antibody #29555

是否有货: Yes
产品详情

产品名称CD31 Mouse Monoclonal Antibody

来源种属Mouse

克隆性Monoclonal

应用WB,IHC-p,IF

种属反应性Human

特异性This antibody detects endogenous levels of human CD31.

免疫原描述Synthesized peptide derived from human CD31 around the non-phosphorylation site of Y713.

标记Unconjugated

数据库入口号Swiss_Prot:P16284
Gene_ID:5175

Uniprot P16284

浓度1mg/ml

配方Liquid in PBS containing 50% glycerol, 0.5% BSA and 0.02% sodium azide.

保存Store at -20℃/1 year

应用详情

WB: 1:500-2000

IHC: 1:100-500

Western blot analysis of CD31Antibody at 1:1000 dilution.
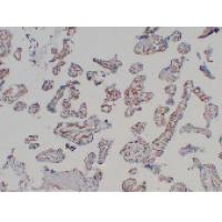
Immunohistochemical analysis of paraffin-embedded Placenta. 1, Antibody was diluted at 1:200(4° overnight). 2, Citric acid ,pH6.0 was used for antigen retrieval. 3,Secondary antibody was diluted at 1:200(room temperature, 30min).

platelet and endothelial cell adhesion molecule 1(PECAM1) Homo sapiens The protein encoded by this gene is found on the surface of platelets, monocytes, neutrophils, and some types of T-cells, and makes up a large portion of endothelial cell intercellular junctions. The encoded protein is a member of the immunoglobulin superfamily and is likely involved in leukocyte migration, angiogenesis, and integrin activation.

如果您使用该产品29555发表了文章,请通知我们,让我们可以引用您的文献。

et al,Single-cell analysis reveals the immune heterogeneity and interactions in lungs undergoing hepatic ischemia-reperfusionInInt ImmunopharmacolOn2023 NovbyChen Zhang1,Mingwei Sheng2, et al..PMID:37844464 , (2023),
PMID: 37844464
et al,A Novel Airway-Organoid Model Based on a Nano-Self-Assembling Peptide: Construction and Application in Adenovirus Infection StudiesIn Int J NanomedicineOn2023 Sep 13byYun-E Xu , Di-Shu Ao et al..PMID:37727651 , (2023),
PMID: 37727651

注释

应用

  • WB免疫印迹
  • IHC免疫组化
  • IF免疫荧光
  • ICC免疫细胞化学
  • FC流式细胞
  • IP免疫沉淀
  • E酶联免疫吸附法
  • DB免疫斑点法
  • ChIP染色质免疫沉淀
  • GICA胶体金免疫层析法
  • NC阴性对照

种属反应性

  • Hu
  • Ms小鼠
  • Rt大鼠
  • Dm果蝇
  • C线虫
  • Mk
  • Rb
  • B
  • D
  • P
  • Hm仓鼠
  • ChHm中国仓鼠
  • Chk
;

联系我们

Location :

南京市高新开发区星火路10号人才大厦C座

Phone :

400-9961-933
025-58868422

Email Address

info@sabbiotech.com