免费电话:400-9961-933
邮箱:info@sabbiotech.com
欢迎光临本站
川博智能体 English
位置: 首页 > 多克隆抗体 > RUNX2 Rabbit Polyclonal Antibody

RUNX2 Rabbit Polyclonal Antibody #29595

是否有货: Yes
产品详情

产品名称RUNX2 Rabbit Polyclonal Antibody

来源种属Rabbit

克隆性Polyclonal

亚型IgG

纯化Affinity purification

应用WB IHC IF

种属反应性Human;Mouse;Rat

免疫原描述Recombinant fusion protein of human RUNX2 (NP_001019801.3).

标记Unconjugated

别名RUNX2;AML3;CBF-alpha-1;CBFA1;CCD;CCD1;CLCD;OSF-2;OSF2;PEA2aA;PEBP2aA

数据库入口号Swiss Prot:Q13950
GeneID:860

Uniprot Q13950

计算分子量54kDa/55kDa/56kDa

实际分子量70kDa

配方Buffer: PBS with 0.02% sodium azide,50% glycerol,pH7.3.

保存Store at -20˚C. Avoid freeze / thaw cycles.

应用详情

WB 1:200 - 1:1000

IHC 1:50 - 1:200
IF 1:50 - 1:200

Western blot analysis of extracts of various cell lines, using RUNX2 at 1:1000 dilution.
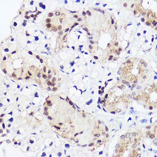
Immunohistochemistry of paraffin-embedded mouse salivary gland using RUNX2 Rabbit pAb at dilution of 1:100 (40x lens).Perform high pressure antigen retrieval with 10 mM citrate buffer pH 6.0 before commencing with IHC staining protocol.

This gene is a member of the RUNX family of transcription factors and encodes a nuclear protein with an Runt DNA-binding domain. This protein is essential for osteoblastic differentiation and skeletal morphogenesis and acts as a scaffold for nucleic acids and regulatory factors involved in skeletal gene expression. The protein can bind DNA both as a monomer or, with more affinity, as a subunit of a heterodimeric complex. Two regions of potential trinucleotide repeat expansions are present in the N-terminal region of the encoded protein, and these and other mutations in this gene have been associated with the bone development disorder cleidocranial dysplasia (CCD). Transcript variants that encode different protein isoforms result from the use of alternate promoters as well as alternate splicing.

如果您使用该产品29595发表了文章,请通知我们,让我们可以引用您的文献。

et al,3D printed PGCL@PLA/10CSPL composite scaffolds loaded with fibronectin 1 for intervertebral disc degeneration treatment, In Biofabrication on 2024 Dec 13 by Weilin Zhang, Siyuan Chen,et al..PMID:39668784 , (2024),
PMID: 39668784

注释

应用

  • WB免疫印迹
  • IHC免疫组化
  • IF免疫荧光
  • ICC免疫细胞化学
  • FC流式细胞
  • IP免疫沉淀
  • E酶联免疫吸附法
  • DB免疫斑点法
  • ChIP染色质免疫沉淀
  • GICA胶体金免疫层析法
  • NC阴性对照

种属反应性

  • Hu
  • Ms小鼠
  • Rt大鼠
  • Dm果蝇
  • C线虫
  • Mk
  • Rb
  • B
  • D
  • P
  • Hm仓鼠
  • ChHm中国仓鼠
  • Chk
;

联系我们

Location :

南京市高新开发区星火路10号人才大厦C座

Phone :

400-9961-933
025-58868422

Email Address

info@sabbiotech.com