免费电话:400-9961-933
邮箱:info@sabbiotech.com
欢迎光临本站
川博智能体 English
位置: 首页 > 多克隆抗体 > TFAM Rabbit Polyclonal Antibody

TFAM Rabbit Polyclonal Antibody #29688

是否有货: Yes
产品详情

产品名称TFAM Rabbit Polyclonal Antibody

来源种属Rabbit

克隆性Polyclonal

亚型IgG

纯化Affinity purification

应用WB IHC IF

种属反应性Human;Mouse;Rat

免疫原描述Recombinant fusion protein of human TFAM (NP_003192.1).

标记Unconjugated

别名TFAM;MTDPS15;MTTF1;MTTFA;TCF6;TCF6L1;TCF6L2;TCF6L3

数据库入口号SwissProt:Q00059
Gene ID:7019

计算分子量25kDa/29kDa

实际分子量25kDa

配方PBS with 0.02% sodium azide,50% glycerol,pH7.3.

保存Store at -20℃. Avoid freeze / thaw cycles.

应用详情

WB 1:500 - 1:2000
IHC 1:50 - 1:200
IF 1:50 - 1:200

Western blot analysis of extracts of various cell lines, using TFAM antibody.
Immunohistochemistry of paraffin-embedded rat brain using TFAM antibody.
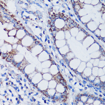
Immunohistochemistry of paraffin-embedded human colon using TFAM antibody.
Immunofluorescence analysis of NIH/3T3 cells using TFAM Rabbit pAb.
Immunofluorescence analysis of PC-12 cells using TFAM Rabbit pAb.

This gene encodes a key mitochondrial transcription factor containing two high mobility group motifs. The encoded protein also functions in mitochondrial DNA replication and repair. Sequence polymorphisms in this gene are associated with Alzheimer's and Parkinson's diseases. There are pseudogenes for this gene on chromosomes 6, 7, and 11. Alternative splicing results in multiple transcript variants.

如果您使用该产品29688发表了文章,请通知我们,让我们可以引用您的文献。

et al,A Novel CYP2E1 Inhibitor, 4‐Methyl‐5‐Acetylthiazole (Q11), Alleviates Obesity Via Modulating Adipose Inflammation and Mitochondrial Dysfunction , (2025),
PMID: 41420839

注释

应用

  • WB免疫印迹
  • IHC免疫组化
  • IF免疫荧光
  • ICC免疫细胞化学
  • FC流式细胞
  • IP免疫沉淀
  • E酶联免疫吸附法
  • DB免疫斑点法
  • ChIP染色质免疫沉淀
  • GICA胶体金免疫层析法
  • NC阴性对照

种属反应性

  • Hu
  • Ms小鼠
  • Rt大鼠
  • Dm果蝇
  • C线虫
  • Mk
  • Rb
  • B
  • D
  • P
  • Hm仓鼠
  • ChHm中国仓鼠
  • Chk
;

联系我们

Location :

南京市高新开发区星火路10号人才大厦C座

Phone :

400-9961-933
025-58868422

Email Address

info@sabbiotech.com