免费电话:400-9961-933
邮箱:info@sabbiotech.com
欢迎光临本站
川博智能体 English
位置: 首页 > 多克隆抗体 > P21 Polyclonal Antibody

P21 Polyclonal Antibody #30427

是否有货: 货期一周
产品详情

产品名称P21 Polyclonal Antibody

来源种属Rabbit

克隆性Polyclonal

亚型IgG

纯化Affinity purification

应用WB,IHC

种属反应性Human;Mouse;Rat

免疫原描述Recombinant fusion protein of human P21 (NP_001207707.1).

标记Unconjugated

别名CDKN1A; CAP20; CDKN1; CIP1; MDA-6; P21; SDI1; WAF1; p21CIP1; cyclin-dependent kinase inhibitor 1

数据库入口号Swiss-Prot#:P38936
NCBI Gene ID:1026

Uniprot P38936

计算分子量21kDa

配方Avoid freeze / thaw cycles.|Buffer: PBS with 50% glycerol, pH7.4.

保存Store at -20˚C

应用详情

WB 1:500 - 1:2000IHC 1:20 - 1:100

Immunohistochemistry of paraffin-embedded human uterine cancer using P21 at dilution of 1:100 (40x lens).
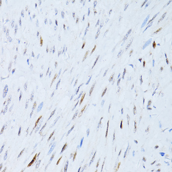
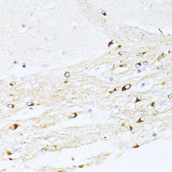
Immunohistochemistry of paraffin-embedded mouse brain using P21 at dilution of 1:100 (40x lens).
Western blot analysis of extracts from normal (control) and P21 knockout (KO) HeLa cells, using P21 at 1:500 dilution.
Western blot analysis of extracts of U-87MG cells, using P21 at 1:500 dilution.
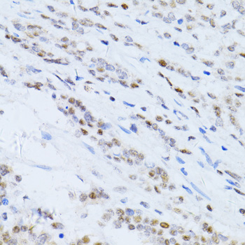
Immunohistochemistry of paraffin-embedded human colon carcinoma using P21 at dilution of 1:100 (40x lens).

This gene encodes a potent cyclin-dependent kinase inhibitor. The encoded protein binds to and inhibits the activity of cyclin-cyclin-dependent kinase2 or -cyclin-dependent kinase4 complexes, and thus functions as a regulator of cell cycle progression at G1. The expression of this gene is tightly controlled by the tumor suppressor protein p53, through which this protein mediates the p53-dependent cell cycle G1 phase arrest in response to a variety of stress stimuli. This protein can interact with proliferating cell nuclear antigen, a DNA polymerase accessory factor, and plays a regulatory role in S phase DNA replication and DNA damage repair. This protein was reported to be specifically cleaved by CASP3-like caspases, which thus leads to a dramatic activation of cyclin-dependent kinase2, and may be instrumental in the execution of apoptosis following caspase activation. Mice that lack this gene have the ability to regenerate damaged or missing tissue. Multiple alternatively spliced variants have been found for this gene.

如果您使用该产品30427发表了文章,请通知我们,让我们可以引用您的文献。

et al,circHIPK3 prevents cardiac senescence by acting as a scaffold to recruit ubiquitin ligase to degrade HuR In Theranostics on 2022 Oct 31 by Fengzhi Ding, Lin Lu,et al..PMID:36438474 , (2022),
PMID: 36438474
et al,Suppressed autophagy of thymic cells promotes apoptosis and thymic atrophy in COPD , (2025),
PMID: 40435874

注释

应用

  • WB免疫印迹
  • IHC免疫组化
  • IF免疫荧光
  • ICC免疫细胞化学
  • FC流式细胞
  • IP免疫沉淀
  • E酶联免疫吸附法
  • DB免疫斑点法
  • ChIP染色质免疫沉淀
  • GICA胶体金免疫层析法
  • NC阴性对照

种属反应性

  • Hu
  • Ms小鼠
  • Rt大鼠
  • Dm果蝇
  • C线虫
  • Mk
  • Rb
  • B
  • D
  • P
  • Hm仓鼠
  • ChHm中国仓鼠
  • Chk
;

联系我们

Location :

南京市高新开发区星火路10号人才大厦C座

Phone :

400-9961-933
025-58868422

Email Address

info@sabbiotech.com