免费电话:400-9961-933
邮箱:info@sabbiotech.com
欢迎光临本站
川博智能体 English
位置: 首页 > 多克隆抗体 > DYNC1I1 Polyclonal Antibody

DYNC1I1 Polyclonal Antibody #30494

是否有货: Yes
产品详情

产品名称DYNC1I1 Polyclonal Antibody

来源种属Rabbit

克隆性Polyclonal

亚型IgG

纯化Affinity purification

应用WB,IHC

种属反应性Human;Mouse;Rat

免疫原描述Recombinant fusion protein of human DYNC1I1 (NP_001129028.1).

标记Unconjugated

别名DYNC1I1; DNCI1; DNCIC1; cytoplasmic dynein 1 intermediate chain 1

数据库入口号Swiss-Prot#:O14576
NCBI Gene ID:1780

Uniprot O14576

计算分子量73kDa

配方Avoid freeze / thaw cycles.|Buffer: PBS with 50% glycerol, pH7.4.

保存Store at -20˚C

应用详情
WB 1:200 - 1:2000
IHC 1:20 - 1:200
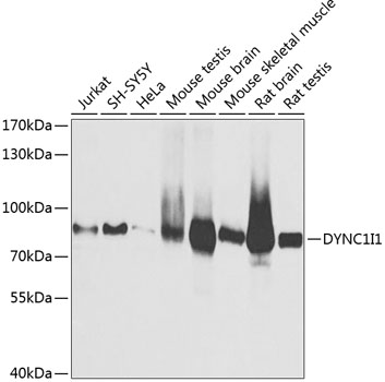
Western blot analysis of extracts of various cell lines, using DYNC1I1 antibody.
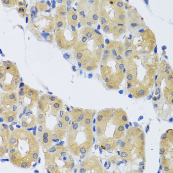
Immunohistochemistry of paraffin-embedded human stomach using DYNC1I1 antibody.
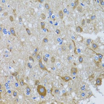
Immunohistochemistry of paraffin-embedded rat brain using DYNC1I1 antibody.

如果您使用该产品30494发表了文章,请通知我们,让我们可以引用您的文献。

et al,3‐Oxo‐22α‐Hydroxy‐Rotundic Acid Alleviates Hyperlipidemia in Mice by Modulating Lipid Metabolism Through the AMPK‐SREBP‐1c‐PPARα Pathway , (2025),
PMID: 40341857

注释

应用

  • WB免疫印迹
  • IHC免疫组化
  • IF免疫荧光
  • ICC免疫细胞化学
  • FC流式细胞
  • IP免疫沉淀
  • E酶联免疫吸附法
  • DB免疫斑点法
  • ChIP染色质免疫沉淀
  • GICA胶体金免疫层析法
  • NC阴性对照

种属反应性

  • Hu
  • Ms小鼠
  • Rt大鼠
  • Dm果蝇
  • C线虫
  • Mk
  • Rb
  • B
  • D
  • P
  • Hm仓鼠
  • ChHm中国仓鼠
  • Chk
;

联系我们

Location :

南京市高新开发区星火路10号人才大厦C座

Phone :

400-9961-933
025-58868422

Email Address

info@sabbiotech.com