免费电话:400-9961-933
邮箱:info@sabbiotech.com
欢迎光临本站
川博智能体 English
位置: 首页 > 多克隆抗体 > STAU1 Polyclonal Antibody

STAU1 Polyclonal Antibody #30523

是否有货: Yes
产品详情

产品名称STAU1 Polyclonal Antibody

来源种属Rabbit

克隆性Polyclonal

亚型IgG

纯化Affinity purification

应用WB,IHC

种属反应性Human;Mouse;Rat

免疫原描述Recombinant fusion protein of human STAU1 (NP_059347.2).

标记Unconjugated

别名STAU1; PPP1R150; STAU; staufen double-stranded RNA binding protein 1

数据库入口号Swiss-Prot#:O95793
NCBI Gene ID:6780

Uniprot O95793

计算分子量58kDa

配方Avoid freeze / thaw cycles.|Buffer: PBS with 50% glycerol, pH7.4.

保存Store at -20˚C

应用详情
WB 1:500 - 1:2000
IHC 1:50 - 1:100
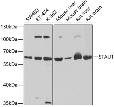
Western blot analysis of extracts of various cell lines, using STAU1 antibody.
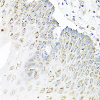
Immunohistochemistry of paraffin-embedded human esophagus using STAU1 antibody.
Staufen is a member of the family of double-stranded RNA (dsRNA)-binding proteins involved in the transport and/or localization of mRNAs to different subcellular compartments and/or organelles. These proteins are characterized by the presence of multiple dsRNA-binding domains which are required to bind RNAs having double-stranded secondary structures. The human homologue of staufen encoded by STAU, in addition contains a microtubule- binding domain similar to that of microtubule-associated protein 1B, and binds tubulin. The STAU gene product has been shown to be present in the cytoplasm in association with the rough endoplasmic reticulum (RER), implicating this protein in the transport of mRNA via the microtubule network to the RER, the site of translation. Five transcript variants resulting from alternative splicing of STAU gene and encoding three isoforms have been described. Three of these variants encode the same isoform, however, differ in their 5'UTR.

如果您使用该产品30523发表了文章,请通知我们,让我们可以引用您的文献。

注释

应用

  • WB免疫印迹
  • IHC免疫组化
  • IF免疫荧光
  • ICC免疫细胞化学
  • FC流式细胞
  • IP免疫沉淀
  • E酶联免疫吸附法
  • DB免疫斑点法
  • ChIP染色质免疫沉淀
  • GICA胶体金免疫层析法
  • NC阴性对照

种属反应性

  • Hu
  • Ms小鼠
  • Rt大鼠
  • Dm果蝇
  • C线虫
  • Mk
  • Rb
  • B
  • D
  • P
  • Hm仓鼠
  • ChHm中国仓鼠
  • Chk
;

联系我们

Location :

南京市高新开发区星火路10号人才大厦C座

Phone :

400-9961-933
025-58868422

Email Address

info@sabbiotech.com