免费电话:400-9961-933
邮箱:info@sabbiotech.com
欢迎光临本站
川博智能体 English
位置: 首页 > 多克隆抗体 > WRB Polyclonal Antibody

WRB Polyclonal Antibody #30787

是否有货: Yes
产品详情

产品名称WRB Polyclonal Antibody

来源种属Rabbit

克隆性Polyclonal

亚型IgG

纯化Affinity purification

应用WB,IHC

种属反应性Mouse;Rat

免疫原描述Recombinant fusion protein of human WRB (NP_004618.2).

标记Unconjugated

别名WRB; CHD5; GET1; tryptophan rich basic protein

数据库入口号Swiss-Prot#:O00258
NCBI Gene ID:7485

Uniprot O00258

计算分子量25kDa

配方Avoid freeze / thaw cycles.|Buffer: PBS with 50% glycerol, pH7.4.

保存Store at -20˚C

应用详情
WB 1:500 - 1:2000
IHC 1:50 - 1:200
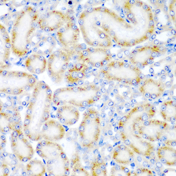
Immunohistochemistry of paraffin-embedded rat kidney using WRB antibody at dilution of 1:200 (40x lens).
Western blot analysis of extracts of various cell lines, using WRB antibody at 1:1000 dilution.
This gene encodes a basic nuclear protein of unknown function. The gene is widely expressed in adult and fetal tissues. Since the region proposed to contain the gene(s) for congenital heart disease (CHD) in Down syndrome (DS) patients has been restricted to 21q22.2-22.3, this gene, which maps to 21q22.3, has a potential role in the pathogenesis of Down syndrome congenital heart disease. Alternatively spliced transcript variants encoding different isoforms have been found for this gene.

如果您使用该产品30787发表了文章,请通知我们,让我们可以引用您的文献。

et al,Anticancer, Anti‐Inflammatory, and Acute Toxicological Evaluation of the Novel Berberine Derivative BN‐7 , (2025),
PMID: 41417275

注释

应用

  • WB免疫印迹
  • IHC免疫组化
  • IF免疫荧光
  • ICC免疫细胞化学
  • FC流式细胞
  • IP免疫沉淀
  • E酶联免疫吸附法
  • DB免疫斑点法
  • ChIP染色质免疫沉淀
  • GICA胶体金免疫层析法
  • NC阴性对照

种属反应性

  • Hu
  • Ms小鼠
  • Rt大鼠
  • Dm果蝇
  • C线虫
  • Mk
  • Rb
  • B
  • D
  • P
  • Hm仓鼠
  • ChHm中国仓鼠
  • Chk
;

联系我们

Location :

南京市高新开发区星火路10号人才大厦C座

Phone :

400-9961-933
025-58868422

Email Address

info@sabbiotech.com