免费电话:400-9961-933
邮箱:info@sabbiotech.com
欢迎光临本站
川博智能体 English
位置: 首页 > 多克隆抗体 > NAA20 Polyclonal Antibody

NAA20 Polyclonal Antibody #30824

是否有货: Yes
产品详情

产品名称NAA20 Polyclonal Antibody

来源种属Rabbit

克隆性Polyclonal

亚型IgG

纯化Affinity purification

应用WB,IHC

种属反应性Human;Mouse;Rat

免疫原描述Recombinant fusion protein of human NAA20 (NP_057184.1).

标记Unconjugated

别名NAA20;NAT3;NAT3P;NAT5;NAT5P;dJ1002M8.1

数据库入口号Uniprot:P61599
GeneID:51126

Uniprot P61599

Gene ID 51126

计算分子量20kDa

实际分子量20kDa

配方PBS with 0.02% sodium azide,50% glycerol,pH7.3.

保存Store at -20˚C. Avoid freeze / thaw cycles.

应用详情
WB 1:500 - 1:2000
IHC 1:50 - 1:200
Western blot analysis of extracts of various cell lines, using NAA20 antibody.
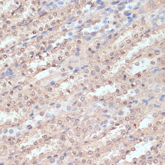
Immunohistochemistry of paraffin-embedded rat kidney using NAA20 antibody.
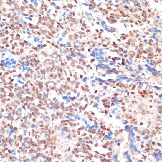
Immunohistochemistry of paraffin-embedded human oophoroma using NAA20 antibody.
NAT5 is a component of N-acetyltransferase complex B (NatB). Human NatB performs cotranslational N(alpha)-terminal acetylation of methionine residues when they are followed by asparagine (Starheim et al., 2008 [PubMed 18570629]).[supplied by OMIM, Apr 2009]

如果您使用该产品30824发表了文章,请通知我们,让我们可以引用您的文献。

et al,analysis: an analysis based on the European spontaneous adverse event reporting system , (2025),
PMID: 39877384

注释

应用

  • WB免疫印迹
  • IHC免疫组化
  • IF免疫荧光
  • ICC免疫细胞化学
  • FC流式细胞
  • IP免疫沉淀
  • E酶联免疫吸附法
  • DB免疫斑点法
  • ChIP染色质免疫沉淀
  • GICA胶体金免疫层析法
  • NC阴性对照

种属反应性

  • Hu
  • Ms小鼠
  • Rt大鼠
  • Dm果蝇
  • C线虫
  • Mk
  • Rb
  • B
  • D
  • P
  • Hm仓鼠
  • ChHm中国仓鼠
  • Chk
;

联系我们

Location :

南京市高新开发区星火路10号人才大厦C座

Phone :

400-9961-933
025-58868422

Email Address

info@sabbiotech.com