免费电话:400-9961-933
邮箱:info@sabbiotech.com
欢迎光临本站
川博智能体 English
位置: 首页 > 多克隆抗体 > DAAM2 Polyclonal Antibody

DAAM2 Polyclonal Antibody #30933

是否有货: Yes
产品详情

产品名称DAAM2 Polyclonal Antibody

来源种属Rabbit

克隆性Polyclonal

亚型IgG

纯化Affinity purification

应用WB,IF

种属反应性Human;Mouse;Rat

免疫原描述Recombinant fusion protein of human DAAM2 (NP_056160.2).

标记Unconjugated

别名DAAM2;dJ90A20A.1

数据库入口号Uniprot:Q86T65
GeneID:23500

Uniprot Q86T65

Gene ID 23500

计算分子量123kDa

实际分子量123kDa

配方PBS with 0.02% sodium azide,50% glycerol,pH7.3.

保存Store at -20˚C. Avoid freeze / thaw cycles.

应用详情
WB 1:500 - 1:2000
IF 1:50 - 1:200
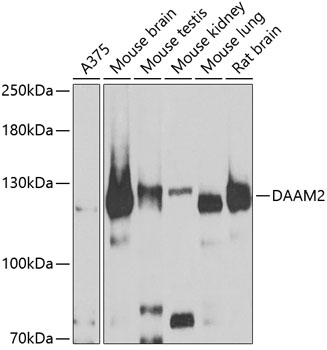
Western blot analysis of extracts of various cell lines, using DAAM2 antibody.
Immunofluorescence analysis of U2OS cells using DAAM2 Rabbit pAb.
Immunofluorescence analysis of L929 cells using DAAM2 Rabbit pAb.
Immunofluorescence analysis of H9C2 cells using DAAM2 Rabbit pAb.
Key regulator of the Wnt signaling pathway, which is required for various processes during development, such as dorsal patterning, determination of left/right symmetry or myelination in the central nervous system. Acts downstream of Wnt ligands and upstream of beta-catenin (CTNNB1. Required for canonical Wnt signaling pathway during patterning in the dorsal spinal cord by promoting the aggregation of Disheveled (Dvl complexes, thereby clustering and formation of Wnt receptor signalosomes and potentiating Wnt activity. During dorsal patterning of the spinal cord, inhibits oligodendrocytes differentiation via interaction with PIP5K1A. Also regulates non-canonical Wnt signaling pathway. Acts downstream of PITX2 in the developing gut and is required for left/right asymmetry within dorsal mesentery: affects mesenchymal condensation by lengthening cadherin-based junctions through WNT5A and non-canonical Wnt signaling, inducing polarized condensation in the left dorsal mesentery necessary to initiate gut rotation. Together with DAAM1, required for myocardial maturation and sarcomere assembly.

如果您使用该产品30933发表了文章,请通知我们,让我们可以引用您的文献。

et al,Inhibition of RORγt suppresses both retinal and choroidal neovascularization in mice , (2025),
PMID: 40819785

注释

应用

  • WB免疫印迹
  • IHC免疫组化
  • IF免疫荧光
  • ICC免疫细胞化学
  • FC流式细胞
  • IP免疫沉淀
  • E酶联免疫吸附法
  • DB免疫斑点法
  • ChIP染色质免疫沉淀
  • GICA胶体金免疫层析法
  • NC阴性对照

种属反应性

  • Hu
  • Ms小鼠
  • Rt大鼠
  • Dm果蝇
  • C线虫
  • Mk
  • Rb
  • B
  • D
  • P
  • Hm仓鼠
  • ChHm中国仓鼠
  • Chk
;

联系我们

Location :

南京市高新开发区星火路10号人才大厦C座

Phone :

400-9961-933
025-58868422

Email Address

info@sabbiotech.com