免费电话:400-9961-933
邮箱:info@sabbiotech.com
欢迎光临本站
川博智能体 English
位置: 首页 > 多克隆抗体 > YWHAZ Polyclonal Antibody

YWHAZ Polyclonal Antibody#30992

是否有货: Yes
产品详情

产品名称YWHAZ Polyclonal Antibody

来源种属Rabbit

克隆性Polyclonal

亚型IgG

纯化Affinity purification

应用WB,IHC,IF

种属反应性Human;Mouse;Rat

免疫原描述A synthetic peptide of human YWHAZ (NP_001129171.1).

标记Unconjugated

别名YWHAZ; 14-3-3-zeta; HEL-S-3; HEL-S-93; HEL4; KCIP-1; YWHAD; 14-3-3 protein zeta/delta

数据库入口号Swiss-Prot#:P63104
NCBI Gene ID:7534

Uniprot P63104

计算分子量28kDa

配方Avoid freeze / thaw cycles.|Buffer: PBS with 50% glycerol, pH7.4.

保存Store at -20˚C

应用详情
WB 1:500 - 1:2000
IHC 1:50 - 1:200
IF 1:50 - 1:200
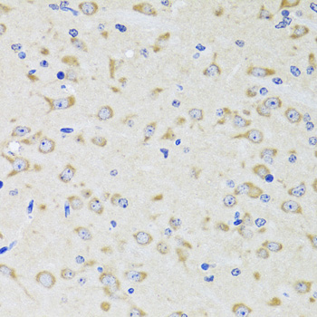
Immunohistochemistry of paraffin-embedded rat brain using YWHAZ antibody at dilution of 1:100 (40x lens).
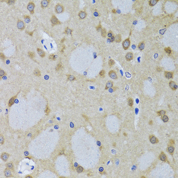
Immunohistochemistry of paraffin-embedded mouse brain using YWHAZ antibody at dilution of 1:100 (40x lens).
Western blot analysis of extracts of various cell lines, using YWHAZ antibody at 1:1000 dilution.
This gene product belongs to the 14-3-3 family of proteins which mediate signal transduction by binding to phosphoserine-containing proteins. This highly conserved protein family is found in both plants and mammals, and this protein is 99% identical to the mouse, rat and sheep orthologs. The encoded protein interacts with IRS1 protein, suggesting a role in regulating insulin sensitivity. Several transcript variants that differ in the 5' UTR but that encode the same protein have been identified for this gene.

如果您使用该产品30992发表了文章,请通知我们,让我们可以引用您的文献。

et al,Neurohypophysial and paracrine vasopressinergic signaling regulates aquaporin trafficking to hydrate marine teleost oocytes , (2023),
PMID: 37635977

注释

应用

  • WB免疫印迹
  • IHC免疫组化
  • IF免疫荧光
  • ICC免疫细胞化学
  • FC流式细胞
  • IP免疫沉淀
  • E酶联免疫吸附法
  • DB免疫斑点法
  • ChIP染色质免疫沉淀
  • GICA胶体金免疫层析法
  • NC阴性对照

种属反应性

  • Hu
  • Ms小鼠
  • Rt大鼠
  • Dm果蝇
  • C线虫
  • Mk
  • Rb
  • B
  • D
  • P
  • Hm仓鼠
  • ChHm中国仓鼠
  • Chk
;

联系我们

Location :

南京市高新开发区星火路10号人才大厦C座

Phone :

400-9961-933
025-58868422

Email Address

info@sabbiotech.com