免费电话:400-9961-933
邮箱:info@sabbiotech.com
欢迎光临本站
川博智能体 English
位置: 首页 > 多克隆抗体 > LGALS2 Antibody

LGALS2 Antibody #31075

是否有货: 有货
产品详情

产品名称LGALS2 Antibody

来源种属Rabbit

克隆性Polyclonal

应用ELISA WB IHC

种属反应性Human;Mouse

特异性The antibody detects endogenous level of total LGALS2 protein.

免疫原类型Recombinant protein

免疫原描述Full length fusion protein

基因/蛋白名称LGALS2

标记Unconjugated

别名ectin, galactoside-binding, soluble, 2, HL14

数据库入口号Genbank No.: BC059782

Uniprot BC059782

配方Supplied at 0.5mg/mL in phosphate buffered saline (without Mg2+ and Ca2+), pH 7.3, 0.05% sodium azide and 50% glycerol.

保存Store at -20˚C/1 year

应用详情
Predicted MW: 15kd
ELISA: 1:1000-1:5000
Western blotting: 1:200-1:1000
Immunohistochemistry: 1:10-1:50
Gel: 15%+12%SDS-PAGE
Lane1: Human liver Cancer tissue lysate
Lane2: Human leiomyosarcoma tissue lysate
Lysates: 40 ug per lane
Primary antibody: 1/250 dilution
Secondary antibody: Goat anti Rabbit IgG - H&L (HRP) at 1/10000 dilution
Exposure time: 10 seconds

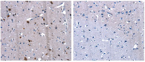
The image on the left is immunohistochemistry of paraffin-embedded Human brain cancer tissue using 31075 (LGALS2 Antibody) at dilution 1/13, on the right is treated with the fusion protein.

The protein encoded by this gene is a soluble beta-galactoside binding lectin. The encoded protein is found as a homodimer and can bind to lymphotoxin-alpha. A single nucleotide polymorphism in an intron of this gene can alter the transcriptional level of the protein, with a resultant increased risk of myocardial infarction. This protein binds beta-galactoside. Its physiological function is not yet known.

如果您使用该产品31075发表了文章,请通知我们,让我们可以引用您的文献。

et al,In vivo multidimensional CRISPR screens identify Lgals2 as an immunotherapy target in triple-negative breast cancer. In Sci Adv on 2022 Jul by Peng Ji, Yue Gong, et al..PMID:35767614 , (2022),
PMID: 35767614

注释

应用

  • WB免疫印迹
  • IHC免疫组化
  • IF免疫荧光
  • ICC免疫细胞化学
  • FC流式细胞
  • IP免疫沉淀
  • E酶联免疫吸附法
  • DB免疫斑点法
  • ChIP染色质免疫沉淀
  • GICA胶体金免疫层析法
  • NC阴性对照

种属反应性

  • Hu
  • Ms小鼠
  • Rt大鼠
  • Dm果蝇
  • C线虫
  • Mk
  • Rb
  • B
  • D
  • P
  • Hm仓鼠
  • ChHm中国仓鼠
  • Chk
;

联系我们

Location :

南京市高新开发区星火路10号人才大厦C座

Phone :

400-9961-933
025-58868422

Email Address

info@sabbiotech.com