免费电话:400-9961-933
邮箱:info@sabbiotech.com
欢迎光临本站
川博智能体 English
位置: 首页 > 多克隆抗体 > CALR Antibody

CALR Antibody #31077

是否有货: 有货
产品详情

产品名称CALR Antibody

来源种属Rabbit

克隆性Polyclonal

应用ELISA WB IHC

种属反应性Human;Mouse

特异性The antibody detects endogenous level of total CALR protein.

免疫原类型Recombinant protein

免疫原描述Fusion protein corresponding to a region derived from 20-218 amino acids of human calreticulin

基因/蛋白名称CALR

标记Unconjugated

别名Calreticulin, RO; CRT; SSA; cC1qR

数据库入口号Genbank No.: BC002500

Uniprot BC002500

配方Supplied at 1mg/mL in phosphate buffered saline (without Mg2+ and Ca2+), pH 7.3, 0.05% sodium azide and 50% glycerol.

保存Store at -20˚C/1 year

应用详情
Predicted MW: 48kd
ELISA: 1:2000-1:10000
Western blotting: 1:1000-1:5000
Immunohistochemistry: 1:50-1:200
Gel: 10%SDS-PAGE
Lane1: Hela cell lysate
Lane2: 293T cell lysate
Lane3: NIH/3T3 cell lysate
Lysates: 40 ug per lane
Primary antibody: 1/500 dilution
Secondary antibody: Goat anti Rabbit IgG - H&L (HRP) at 1/10000 dilution
Exposure time: 30 seconds
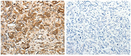
The image on the left is immunohistochemistry of paraffin-embedded human gastric cancer tissue using 31077 (CALR Antibody) at dilution 1/30, on the right is treated with the fusion protein.

Calreticulin is a multifunctional protein that acts as a major Ca(2+)-binding (storage) protein in the lumen of the endoplasmic reticulum. It is also found in the nucleus, suggesting that it may have a role in transcription regulation. Calreticulin binds to the synthetic peptide KLGFFKR, which is almost identical to an amino acid sequence in the DNA-binding domain of the superfamily of nuclear receptors. Calreticulin binds to antibodies in certain sera of systemic lupus and Sjogren patients which contain anti-Ro/SSA antibodies, it is highly conserved among species, and it is located in the endoplasmic and sarcoplasmic reticulum where it may bind calcium. The amino terminus of calreticulin interacts with the DNA-binding domain of the glucocorticoid receptor and prevents the receptor from binding to its specific glucocorticoid response element.

如果您使用该产品31077发表了文章,请通知我们,让我们可以引用您的文献。

et al,Autoantibody against Tumor-Associated Antigens as Diagnostic Biomarkers in Hispanic Patients with Hepatocellular Carcinoma. In Cells on 2022 Oct 14 by Yangcheng Ma, Cuipeng Qiu, et al..PMID:36291095 , (2022),
PMID: 36291095

注释

应用

  • WB免疫印迹
  • IHC免疫组化
  • IF免疫荧光
  • ICC免疫细胞化学
  • FC流式细胞
  • IP免疫沉淀
  • E酶联免疫吸附法
  • DB免疫斑点法
  • ChIP染色质免疫沉淀
  • GICA胶体金免疫层析法
  • NC阴性对照

种属反应性

  • Hu
  • Ms小鼠
  • Rt大鼠
  • Dm果蝇
  • C线虫
  • Mk
  • Rb
  • B
  • D
  • P
  • Hm仓鼠
  • ChHm中国仓鼠
  • Chk
;

联系我们

Location :

南京市高新开发区星火路10号人才大厦C座

Phone :

400-9961-933
025-58868422

Email Address

info@sabbiotech.com