免费电话:400-9961-933
邮箱:info@sabbiotech.com
欢迎光临本站
川博智能体 English
位置: 首页 > 多克隆抗体 > BIRC7 Antibody

BIRC7 Antibody #31094

是否有货: 有货
产品详情

产品名称BIRC7 Antibody

来源种属Rabbit

克隆性Polyclonal

应用ELISA WB IHC

种属反应性Human, Mouse

特异性The antibody detects endogenous level of BIRC7 protein.

免疫原类型Recombinant Protein

免疫原描述Fusion protein of human BIRC7

基因/蛋白名称BIRC7

标记Unconjugated

别名baculoviral IAP repeat containing 7, KIAP, LIVIN, MLIAP, RNF50, ML-IAP

Uniprot Q96CA5

浓度1.1mg/ml

配方Supplied at 0.6mg/mL in phosphate buffered saline (without Mg2+ and Ca2+), pH 7.3, 0.05% sodium azide and 50% glycerol.

保存Store at -20˚C/1 year

应用详情

WB 1:500 - 1:2000. IHC 1:50 - 1:200. ELISA 1:5000 - 1:10000.

Gel: 8%SDS-PAGE Lysate: 40 ug Lane: Mouse adrenal gland tissue lysate Primary antibody: at dilution 1/700 Secondary antibody: at 1/5000 dilution Exposure time: 90 seconds
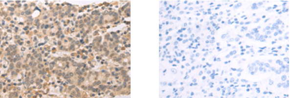
The image on the left is immunohistochemistry of paraffinembedded Human gastric cancer tissue at dilution 1/75, on the right is treated with fusion protein.(Original magnification: 200)

The protein encoded by this gene is a member of the family of inhibitor of apoptosis proteins (IAP) and contains a single copy of a baculovirus IAP repeat (BIR) as well as a RING-type zinc finger domain. The BIR domain is essential for inhibitory activity and interacts with caspases, while the RING finger domain sometimes enhances antiapoptotic activity but does not inhibit apoptosis alone. Two transcript variants encoding different isoforms have been found for this gene. The two isoforms have different antiapoptotic properties, with isoform alpha protecting cells from apoptosis induced by staurosporine and isoform b protecting cells from apoptosis induced by etoposide.?

如果您使用该产品31094发表了文章,请通知我们,让我们可以引用您的文献。

et al,Androgen receptor-induced molecules and androgen contribute synergistically to male-predominance of hepatocellular carcinoma. In iScience on 2024 Jul 15 by Jiayi Zhao, Letian Fang,et al..PMID:39156638 , (2024),
PMID: 39156638

注释

应用

  • WB免疫印迹
  • IHC免疫组化
  • IF免疫荧光
  • ICC免疫细胞化学
  • FC流式细胞
  • IP免疫沉淀
  • E酶联免疫吸附法
  • DB免疫斑点法
  • ChIP染色质免疫沉淀
  • GICA胶体金免疫层析法
  • NC阴性对照

种属反应性

  • Hu
  • Ms小鼠
  • Rt大鼠
  • Dm果蝇
  • C线虫
  • Mk
  • Rb
  • B
  • D
  • P
  • Hm仓鼠
  • ChHm中国仓鼠
  • Chk
;

联系我们

Location :

南京市高新开发区星火路10号人才大厦C座

Phone :

400-9961-933
025-58868422

Email Address

info@sabbiotech.com