免费电话:400-9961-933
邮箱:info@sabbiotech.com
欢迎光临本站
川博智能体 English
位置: 首页 > 多克隆抗体 > MCM3 Antibody

MCM3 Antibody #31099

是否有货: 有货
产品详情

产品名称MCM3 Antibody

来源种属Rabbit

克隆性Polyclonal

应用ELISA WB IHC

种属反应性Human

特异性The antibody detects endogenous level of total MCM3 protein.

免疫原类型Recombinant protein

免疫原描述Fusion protein corresponding to C terminal 300 amino acids of human minichromosome maintenance complex component 3

基因/蛋白名称MCM3

标记Unconjugated

别名minichromosome maintenance complex component 3, HCC5, P1.h, RLFB, P1-MCM3

数据库入口号Genbank No.: BC001626

Uniprot BC001626

配方Supplied at 0.8mg/mL in phosphate buffered saline (without Mg2+ and Ca2+), pH 7.3, 0.05% sodium azide and 50% glycerol.

保存Store at -20˚C/1 year

应用详情
Predicted MW: 91kd
ELISA: 1:1000-1:5000
Western blotting: 1:500-1:2000
Immunohistochemistry: 1:50-1:200
Gel: 8%SDS-PAGE
Lane1: K562 cell lysate
Lane2: Jurkat cell lysate
Lane3: Hela cell lysate
Lane4: 293T cell lysate
Lysates: 40 ug per lane
Primary antibody: 1/550 dilution
Secondary antibody: Goat anti Rabbit IgG - H&L (HRP) at 1/10000 dilution
Exposure time: 1 minute
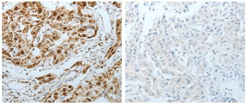
The image on the left is immunohistochemistry of paraffin-embedded human lung cancer tissue using 31099 (MCM3 Antibody) at dilution 1/30, on the right is treated with the fusion protein.
The protein encoded by this gene is one of the highly conserved mini-chromosome maintenance proteins (MCM) that are involved in the initiation of eukaryotic genome replication. The hexameric protein complex formed by MCM proteins is a key component of the pre-replication complex (pre_RC) and may be involved in the formation of replication forks and in the recruitment of other DNA replication related proteins. This protein is a subunit of the protein complex that consists of MCM2-7. It has been shown to interact directly with MCM5/CDC46. This protein also interacts with and is acetylated by MCM3AP, a chromatin-associated acetyltransferase. The acetylation of this protein inhibits the initiation of DNA replication and cell cycle progression. Two transcript variants encoding different isoforms have been found for this gene.

如果您使用该产品31099发表了文章,请通知我们,让我们可以引用您的文献。

et al,ACSS2 acts as a lactyl-CoA synthetase and couples KAT2A to function as a lactyltransferase for histone lactylation and tumor immune evasion , (2025),
PMID: 39561764

注释

应用

  • WB免疫印迹
  • IHC免疫组化
  • IF免疫荧光
  • ICC免疫细胞化学
  • FC流式细胞
  • IP免疫沉淀
  • E酶联免疫吸附法
  • DB免疫斑点法
  • ChIP染色质免疫沉淀
  • GICA胶体金免疫层析法
  • NC阴性对照

种属反应性

  • Hu
  • Ms小鼠
  • Rt大鼠
  • Dm果蝇
  • C线虫
  • Mk
  • Rb
  • B
  • D
  • P
  • Hm仓鼠
  • ChHm中国仓鼠
  • Chk
;

联系我们

Location :

南京市高新开发区星火路10号人才大厦C座

Phone :

400-9961-933
025-58868422

Email Address

info@sabbiotech.com