免费电话:400-9961-933
邮箱:info@sabbiotech.com
欢迎光临本站
川博智能体 English
位置: 首页 > 多克隆抗体 > TRAF6 Antibody

TRAF6 Antibody #31136

是否有货: 有货
产品详情

产品名称TRAF6 Antibody

来源种属Rabbit

克隆性Polyclonal

应用ELISA WB IHC

种属反应性Human

特异性The antibody detects endogenous level of total TRAF6 protein.

免疫原类型Recombinant protein

免疫原描述Fusion protein corresponding to a region derived from 350-522 amino acids of human TNF receptor-associated factor 6, E3 ubiquitin protein ligase

基因/蛋白名称TRAF6

标记Unconjugated

别名TNF receptor-associated factor 6, E3 ubiquitin protein ligase, RNF85; MGC:3310

数据库入口号Genbank No.: BC031052

Uniprot BC031052

配方Supplied at 0.5mg/mL in phosphate buffered saline (without Mg2+ and Ca2+), pH 7.3, 0.05% sodium azide and 50% glycerol.

保存Store at -20˚C/1 year

应用详情
Predicted MW: 60kd
ELISA: 1:1000-1:2000
Western blotting: 1:200-1:1000
Immunohistochemistry: 1:15-1:50
Gel: 10%SDS-PAGE
Lane1: A431 cell lysate
Lane2: Human liver cancer tissue lysate
Lane3: Hela cell lysate
Lysates: 40 ug per lane
Primary antibody: 1/250 dilution
Secondary antibody: Goat anti Rabbit IgG - H&L (HRP) at 1/10000 dilution
Exposure time: 2 minutes
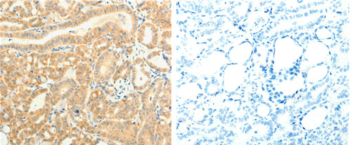
The image on the left is immunohistochemistry of paraffin-embedded human thyroid cancer tissue using 31136(TRAF6 Antibody) at dilution 1/15, on the right is treated with the fusion protein.
The protein encoded by this gene is a member of the TNF receptor associated factor (TRAF) protein family. TRAF proteins are associated with, and mediate signal transduction from, members of the TNF receptor superfamily. This protein mediates signaling from members of the TNF receptor superfamily as well as the Toll/IL-1 family. Signals from receptors such as CD40, TNFSF11/RANCE and IL-1 have been shown to be mediated by this protein. This protein also interacts with various protein kinases including IRAK1/IRAK, SRC and PKCzeta, which provides a link between distinct signaling pathways. This protein functions as a signal transducer in the NF-kappaB pathway that activates IkappaB kinase (IKK) in response to proinflammatory cytokines. The interaction of this protein with UBE2N/UBC13, and UBE2V1/UEV1A, which are ubiquitin conjugating enzymes catalyzing the formation of polyubiquitin chains, has been found to be required for IKK activation by this protein. This protein also interacts with the transforming growth factor (TGF) beta receptor complex and is required for Smad-independent activation of the JNK and p38 kinases.

如果您使用该产品31136发表了文章,请通知我们,让我们可以引用您的文献。

et al,Classical prescription Daqinjiao decoction inhibit cerebral ischemia/reperfusion induced necroptosis and ferroptosis through multiple mechanisms. , (2025),
PMID: 39736347

注释

应用

  • WB免疫印迹
  • IHC免疫组化
  • IF免疫荧光
  • ICC免疫细胞化学
  • FC流式细胞
  • IP免疫沉淀
  • E酶联免疫吸附法
  • DB免疫斑点法
  • ChIP染色质免疫沉淀
  • GICA胶体金免疫层析法
  • NC阴性对照

种属反应性

  • Hu
  • Ms小鼠
  • Rt大鼠
  • Dm果蝇
  • C线虫
  • Mk
  • Rb
  • B
  • D
  • P
  • Hm仓鼠
  • ChHm中国仓鼠
  • Chk
;

联系我们

Location :

南京市高新开发区星火路10号人才大厦C座

Phone :

400-9961-933
025-58868422

Email Address

info@sabbiotech.com