免费电话:400-9961-933
邮箱:info@sabbiotech.com
欢迎光临本站
川博智能体 English
位置: 首页 > 多克隆抗体 > ADRB2 Antibody

ADRB2 Antibody #31142

是否有货: 有货
产品详情

产品名称ADRB2 Antibody

来源种属Rabbit

克隆性Polyclonal

应用ELISA WB IHC

种属反应性Human

特异性The antibody detects endogenous level of total ADRB2 protein.

免疫原类型Peptide

免疫原描述Synthetic peptide corresponding to a region derived from 21-33 amino acids of Human adrenoceptor beta 2, surface

基因/蛋白名称ADRB2

标记Unconjugated

别名Adrenoceptor beta 2, surface, BAR, B2AR, ADRBR, ADRB2R, BETA2AR

数据库入口号Genbank No.: NP_000015

Uniprot NP_000015

配方Supplied at 0.7mg/mL in phosphate buffered saline (without Mg2+ and Ca2+), pH 7.3, 0.05% sodium azide and 50% glycerol.

保存Store at -20˚C/1 year

应用详情
Predicted MW: 46kd
ELISA: 1:1000-1:2000
Western blotting: 1:1000-1:2000
Immunohistochemistry: 1:15-1:50
Gel: 10%SDS-PAGE
Lane1: Hela cell lysate
Lane2: A549 cell lysate
Lysates: 30ug per lane
Primary antibody: 1/600 dilution
Secondary antibody: Goat anti Rabbit IgG - H&L (HRP) at 1/10000 dilution
Exposure time: 1 minute
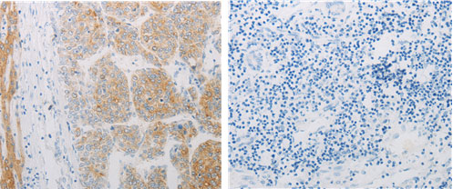
The image on the left is immunohistochemistry of paraffin-embedded human liver cancer tissue using 31142(ADRB2 Antibody) at dilution 1/20, on the right is treated with the synthetic peptide.
This gene encodes beta-2-adrenergic receptor which is a member of the G protein-coupled receptor superfamily. This receptor is directly associated with one of its ultimate effectors, the class C L-type calcium channel Ca(V)1.2. This receptor-channel complex also contains a G protein, an adenylyl cyclase, cAMP-dependent kinase, and the counterbalancing phosphatase, PP2A. The assembly of the signaling complex provides a mechanism that ensures specific and rapid signaling by this G protein-coupled receptor. This gene is intronless. Different polymorphic forms, point mutations, and/or downregulation of this gene are associated with nocturnal asthma, obesity and type 2 diabetes.?

如果您使用该产品31142发表了文章,请通知我们,让我们可以引用您的文献。

et al,Aerobic Exercise Inhibits Sympathetic Nerve Sprouting and Restores 尾-Adrenergic Receptor Balance in Rats with Myocardial Infarction.In PLoS One.On 2014 by Ting Chen,Meng-Xin Cai et al..PMID:24842290 , (2014),
PMID: 24842290

注释

应用

  • WB免疫印迹
  • IHC免疫组化
  • IF免疫荧光
  • ICC免疫细胞化学
  • FC流式细胞
  • IP免疫沉淀
  • E酶联免疫吸附法
  • DB免疫斑点法
  • ChIP染色质免疫沉淀
  • GICA胶体金免疫层析法
  • NC阴性对照

种属反应性

  • Hu
  • Ms小鼠
  • Rt大鼠
  • Dm果蝇
  • C线虫
  • Mk
  • Rb
  • B
  • D
  • P
  • Hm仓鼠
  • ChHm中国仓鼠
  • Chk
;

联系我们

Location :

南京市高新开发区星火路10号人才大厦C座

Phone :

400-9961-933
025-58868422

Email Address

info@sabbiotech.com