免费电话:400-9961-933
邮箱:info@sabbiotech.com
欢迎光临本站
川博智能体 English
位置: 首页 > 多克隆抗体 > FGF7 Antibody

FGF7 Antibody #31162

是否有货: 有货
产品详情

产品名称FGF7 Antibody

来源种属Rabbit

克隆性Polyclonal

纯化Antigen affinity purification

应用WB;IHC

种属反应性Human;Mouse;Rat

特异性The antibody detects endogenous level of total FGF7 protein.

免疫原类型peptide

免疫原描述Synthetic peptide of human FGF7

基因/蛋白名称FGF7

标记Unconjugated

别名Fibroblast growth factor 7 , KGF, HBGF-7

数据库入口号Swiss-Prot:P21781
Gene ID:860

Uniprot P21781

计算分子量23 kDa

浓度1.1 mg/ml

配方pH7.4 PBS, 0.05% NaN3, 40% Glycerol

保存Store at -20˚C/1 year

应用详情
WB 1:1000-1:5000;
IHC 1:50-1:200
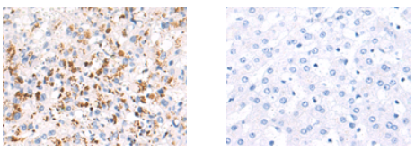
The image on the left is immunohistochemistry of paraffinembedded Human liver cancer tissue using FGF7 Antibody at dilution 1/50, on the right is treated with synthetic peptide. (Original magnification: 200)
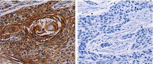
The image on the left is immunohistochemistry of paraffinembedded Human prostate cancer tissue using FGF7 Antibody at dilution 1/50, on the right is treated with synthetic peptide. (Original magnification: 200)
Gel: 12%SDS-PAGE;
Lysate: 10 ug;
Lane: Mouse spleen tissue lysate;
Primary antibody: FGF7 Antibody at dilution 1/1000;
Secondary antibody: HRP-conjugated Goat anti rabbit IgG at 1/20000 dilution;
Exposure time: 1 second

The protein encoded by this gene is a member of the fibroblast growth factor (FGF) family. FGF family members possess broad mitogenic and cell survival activities, and are involved in a variety of biological processes, including embryonic development, cell growth, morphogenesis, tissue repair, tumor growth and invasion. This protein is a potent epithelial cell-specific growth factor, whose mitogenic activity is predominantly exhibited in keratinocytes but not in fibroblasts and endothelial cells. Studies of mouse and rat homologs of this gene implicated roles in morphogenesis of epithelium, reepithelialization of wounds, hair development and early lung organogenesis.

如果您使用该产品31162发表了文章,请通知我们,让我们可以引用您的文献。

et al,Maldevelopment of the submandibular gland in a mouse model of apert syndrome.In Dev Dyn. On 2018 Nov by Yamaji K, Morita J et al..PMID:30251381 , (2018),
PMID: 30251381
et al,Maldevelopment of the submandibular gland in a mouse model of apert syndrome.In Dev Dyn. On 2018 Nov by Yamaji K, Morita J et al..PMID:30251381 , (2018),
PMID: 30251381
et al,Ser252Trp mutation in fibroblast growth factor receptor 2 promotes branching morphogenesis in mouse salivary glands. In J Oral Biosci on 2024 Mar by Daiki Iwata, Kaori Kometani-Gunjigake,et al..PMID:38246420 , (2024),
PMID: 38246420
et al,Integrating single-cell and spatial analysis reveals MUC1-mediated cellular crosstalk in mucinous colorectal adenocarcinoma , (2024),
PMID:
et al,Telomerase reverse transcriptase gene knock-in unleashes enhanced longevity and accelerated damage repair in mice , (2024),
PMID:
et al,Telomerase reverse transcriptase gene knock‐in unleashes enhanced longevity and accelerated damage repair in mice , (2025),
PMID: 39660787

注释

应用

  • WB免疫印迹
  • IHC免疫组化
  • IF免疫荧光
  • ICC免疫细胞化学
  • FC流式细胞
  • IP免疫沉淀
  • E酶联免疫吸附法
  • DB免疫斑点法
  • ChIP染色质免疫沉淀
  • GICA胶体金免疫层析法
  • NC阴性对照

种属反应性

  • Hu
  • Ms小鼠
  • Rt大鼠
  • Dm果蝇
  • C线虫
  • Mk
  • Rb
  • B
  • D
  • P
  • Hm仓鼠
  • ChHm中国仓鼠
  • Chk
;

联系我们

Location :

南京市高新开发区星火路10号人才大厦C座

Phone :

400-9961-933
025-58868422

Email Address

info@sabbiotech.com