免费电话:400-9961-933
邮箱:info@sabbiotech.com
欢迎光临本站
川博智能体 English
位置: 首页 > 多克隆抗体 > EDNRB Antibody

EDNRB Antibody #31191

是否有货: 有货
产品详情

产品名称EDNRB Antibody

来源种属Rabbit

克隆性Polyclonal

应用ELISA WB IHC

种属反应性Human

特异性The antibody detects endogenous level of total EDNRB protein.

免疫原类型Peptide

免疫原描述Synthetic peptide peptide corresponding to a region derived from 70-84 amino acids of human endothelin receptor type B

基因/蛋白名称EDNRB

标记Unconjugated

别名endothelin receptor type B, ETB, ET-B, ETBR, ETRB, HSCR, WS4A, ABCDS, ET-BR, HSCR2

数据库入口号Genbank No.: NP_003982

Uniprot NP_003982

配方Supplied at 1mg/mL in phosphate buffered saline (without Mg2+ and Ca2+), pH 7.3, 0.05% sodium azide and 50% glycerol.

保存Store at -20˚C/1 year

应用详情
Predicted MW: 50kd
ELISA: 1:2000-1:5000
Western blotting: 1:500-1:2000
Immunohistochemistry: 1:25-1:100
Gel: 10% SDS-PAGE
Lane1: Human fetal lung tissue lysate
Lane2: Human fetal intestine tissue lysate
Lane3: Human lung tissue lysate
Lane4: Hela cell lysate
Lysates: 40ug per lane
Primary antibody: 1/500 dilution
Secondary antibody: Goat anti Rabbit IgG - H&L (HRP) at 1/5000 dilution
Exposure time: 1 minute
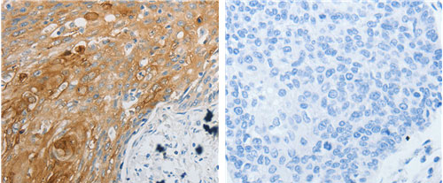
The image on the left is immunohistochemistry of paraffin-embedded Human cervical cancer tissue using 31191 (EDNRB Antibody) at dilution 1/30, on the right is treated with the synthetic peptide.
The protein encoded by this gene is a G protein-coupled receptor which activates a phosphatidylinositol-calcium second messenger system. Its ligand, endothelin, consists of a family of three potent vasoactive peptides: ET1, ET2, and ET3. Studies suggest that the multigenic disorder, Hirschsprung disease type 2, is due to mutations in the endothelin receptor type B gene. Alternatively spliced transcript variants encoding different isoforms have been found for this gene.

如果您使用该产品31191发表了文章,请通知我们,让我们可以引用您的文献。

et al,Prognostic values of EDNRB in triple-negative breast cancer. In Oncol Lett on 2020 Nov by Shaoqing Liu, Jingyang Zhang, et al..PMID: 32934717 , (2020),
PMID: 32934717

注释

应用

  • WB免疫印迹
  • IHC免疫组化
  • IF免疫荧光
  • ICC免疫细胞化学
  • FC流式细胞
  • IP免疫沉淀
  • E酶联免疫吸附法
  • DB免疫斑点法
  • ChIP染色质免疫沉淀
  • GICA胶体金免疫层析法
  • NC阴性对照

种属反应性

  • Hu
  • Ms小鼠
  • Rt大鼠
  • Dm果蝇
  • C线虫
  • Mk
  • Rb
  • B
  • D
  • P
  • Hm仓鼠
  • ChHm中国仓鼠
  • Chk
;

联系我们

Location :

南京市高新开发区星火路10号人才大厦C座

Phone :

400-9961-933
025-58868422

Email Address

info@sabbiotech.com