免费电话:400-9961-933
邮箱:info@sabbiotech.com
欢迎光临本站
川博智能体 English
位置: 首页 > 多克隆抗体 > P2RY11 Antibody

P2RY11 Antibody #31254

是否有货: 有货
产品详情

产品名称P2RY11 Antibody

来源种属Rabbit

克隆性Polyclonal

应用ELISA WB IHC

种属反应性Human

特异性The antibody detects endogenous level of total P2RY11 protein.

免疫原类型Peptide

免疫原描述Synthetic peptide corresponding to a region derived from 361-374 amino acids of Human purinergic receptor P2Y, G-protein coupled, 11

基因/蛋白名称P2RY11

标记Unconjugated

别名purinergic receptor P2Y, G-protein coupled, 11, P2Y11

数据库入口号Genbank No.: NP_002557

Uniprot NP_002557

配方Supplied at 1mg/mL in phosphate buffered saline (without Mg2+ and Ca2+), pH 7.3, 0.05% sodium azide and 50% glycerol.

保存Store at -20˚C/1 year

应用详情
Predicted MW: 40kd
ELISA: 1:1000-1:5000
Western blotting: 1:200-1:1000
Immunohistochemistry: 1:25-1:100
Gel: 10%SDS-PAGE
Lane1: Hela cell lysate
Lane2: 293T cell lysate
Lysates: 40 ug per lane
Primary antibody: 1/500 dilution
Secondary antibody: Goat anti Rabbit IgG - H&L (HRP) at 1/10000 dilution
Exposure time: 1 minute
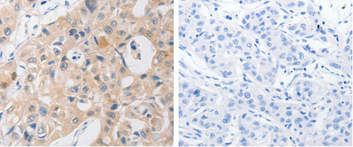
The image on the left is immunohistochemistry of paraffin-embedded Human lung cancer tissue using 31254 (P2RY11 Antibody) at dilution 1/40, on the right is treated with the synthetic peptide.
The product of this gene belongs to the family of G-protein coupled receptors. This family has several receptor subtypes with different pharmacological selectivity, which overlaps in some cases, for various adenosine and uridine nucleotides. This receptor is coupled to the stimulation of the phosphoinositide and adenylyl cyclase pathways and behaves as a selective purinoceptor. Naturally occuring read-through transcripts, resulting from intergenic splicing between this gene and an immediately upstream gene (PPAN, encoding peter pan homolog), have been found. The PPAN-P2RY11 read-through mRNA is ubiquitously expressed and encodes a fusion protein that shares identity with each individual gene product.

如果您使用该产品31254发表了文章,请通知我们,让我们可以引用您的文献。

et al,Inhibition of P2Y11R ameliorated TNF-α-Induced degradation of extracellular matrix In human chondrocytic SW1353 cells. In Am J Transl Res on 2019 Apr 15 by Wang D, LIn N,et al.. PMID: 31105822 , (2019),
PMID: 31105822

注释

应用

  • WB免疫印迹
  • IHC免疫组化
  • IF免疫荧光
  • ICC免疫细胞化学
  • FC流式细胞
  • IP免疫沉淀
  • E酶联免疫吸附法
  • DB免疫斑点法
  • ChIP染色质免疫沉淀
  • GICA胶体金免疫层析法
  • NC阴性对照

种属反应性

  • Hu
  • Ms小鼠
  • Rt大鼠
  • Dm果蝇
  • C线虫
  • Mk
  • Rb
  • B
  • D
  • P
  • Hm仓鼠
  • ChHm中国仓鼠
  • Chk
;

联系我们

Location :

南京市高新开发区星火路10号人才大厦C座

Phone :

400-9961-933
025-58868422

Email Address

info@sabbiotech.com