免费电话:400-9961-933
邮箱:info@sabbiotech.com
欢迎光临本站
川博智能体 English
位置: 首页 > 多克隆抗体 > PDX1 Antibody

PDX1 Antibody #31259

是否有货: 有货
产品详情

产品名称PDX1 Antibody

来源种属Rabbit

克隆性Polyclonal

应用ELISA WB IHC

种属反应性Human

特异性The antibody detects endogenous level of total PDX1 protein.

免疫原类型Peptide

免疫原描述Synthetic peptide peptide corresponding to a region derived from 18-31 amino acids of human pancreatic and duodenal homeobox 1

基因/蛋白名称PDX1

标记Unconjugated

别名pancreatic and duodenal homeobox 1, GSF, IPF1, IUF1, IDX-1, MODY4, PDX-1, STF-1

数据库入口号Genbank No.: NP_000200

Uniprot NP_000200

配方Supplied at 0.9mg/mL in phosphate buffered saline (without Mg2+ and Ca2+), pH 7.3, 0.05% sodium azide and 50% glycerol.

保存Store at -20˚C/1 year

应用详情
Predicted MW: 31kd
ELISA: 1:2000-1:5000
Western blotting: 1:500-1:2000
Immunohistochemistry: 1:15-1:50
Gel: 10% SDS-PAGE
Lane1: Hela cell lysate
Lane2: Jurkat cell lysate
Lysates: 40ug per lane
Primary antibody: 1/450 dilution
Secondary antibody: Goat anti Rabbit IgG - H&L (HRP) at 1/5000 dilution
Exposure time: 1 minute
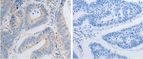
The image on the left is immunohistochemistry of paraffin-embedded Human colon cancer tissue using 31259 (PDX1 Antibody) at dilution 1/30, on the right is treated with the synthetic peptide.
The protein encoded by this gene is a transcriptional activator of several genes, including insulin, somatostatin, glucokinase, islet amyloid polypeptide, and glucose transporter type 2. The encoded nuclear protein is involved in the early development of the pancreas and plays a major role in glucose-dependent regulation of insulin gene expression. Defects in this gene are a cause of pancreatic agenesis, which can lead to early-onset insulin-dependent diabetes mellitus (NIDDM), as well as maturity onset diabetes of the young type 4 (MODY4).

如果您使用该产品31259发表了文章,请通知我们,让我们可以引用您的文献。

et al,Structure characterization of an arabinogalactan from green tea and its anti-diabetic effect.In Carbohydr Polym on 2015 Jun 25 by Huijun Wang , Songshan Shi et al..PMID:25839799 , (2015),
PMID: 25839799

注释

应用

  • WB免疫印迹
  • IHC免疫组化
  • IF免疫荧光
  • ICC免疫细胞化学
  • FC流式细胞
  • IP免疫沉淀
  • E酶联免疫吸附法
  • DB免疫斑点法
  • ChIP染色质免疫沉淀
  • GICA胶体金免疫层析法
  • NC阴性对照

种属反应性

  • Hu
  • Ms小鼠
  • Rt大鼠
  • Dm果蝇
  • C线虫
  • Mk
  • Rb
  • B
  • D
  • P
  • Hm仓鼠
  • ChHm中国仓鼠
  • Chk
;

联系我们

Location :

南京市高新开发区星火路10号人才大厦C座

Phone :

400-9961-933
025-58868422

Email Address

info@sabbiotech.com