免费电话:400-9961-933
邮箱:info@sabbiotech.com
欢迎光临本站
川博智能体 English
位置: 首页 > 多克隆抗体 > VEGFA Antibody

VEGFA Antibody #31274

是否有货: 有货
产品详情

产品名称VEGFA Antibody

来源种属Rabbit

克隆性Polyclonal

应用ELISA WB IHC

种属反应性Human

特异性The antibody detects endogenous level of total VEGFA protein.

免疫原类型Peptide

免疫原描述Synthetic peptide of human VEGFA

基因/蛋白名称VEGFA

标记Unconjugated

别名vascular endothelial growth factor A, VPF, VEGF, MVCD1

数据库入口号P15692

Uniprot P15692

计算分子量27 kDa

实际分子量35kd

浓度0.8mg/ml

配方Supplied at 0.9mg/mL in phosphate buffered saline (without Mg2+ and Ca2+), pH 7.3, 0.05% sodium azide and 50% glycerol.

保存Store at -20˚C/1 year

应用详情

WB 1:500-1:2000

IHC 1:50-1:200

ELISA 1:5000-1:10000

Gel: 8%SDS-PAGE Lysate: 40 ug Lane: Hela cell lysate Primary antibody: (VEGFAAntibody) at dilution 1/600 Secondary antibody: Goat anti rabbit IgG at 1/5000 dilution Exposure time: 2 minutes
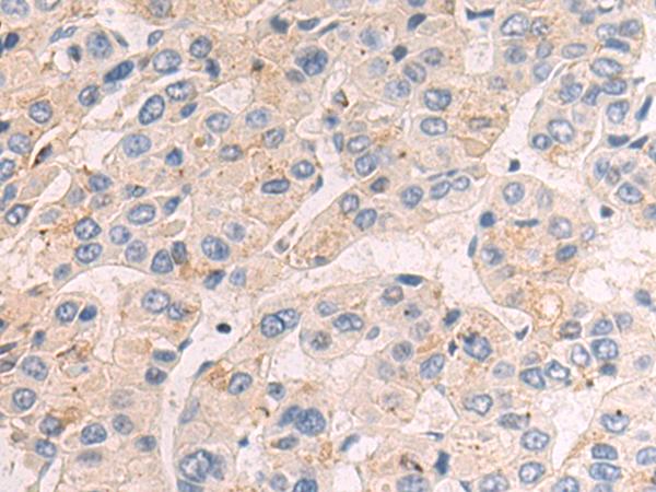
The image on the left is immunohistochemistry of paraffin-embedded Human liver cancer tissue using (VEGFA Antibody) at dilution 1/50

This gene is a member of the PDGF/VEGF growth factor family and encodes a protein that is often found as a disulfide linked homodimer. This protein is a glycosylated mitogen that specifically acts on endothelial cells and has various effects, including mediating increased vascular permeability, inducing angiogenesis, vasculogenesis and endothelial cell growth, promoting cell migration, and inhibiting apoptosis. Elevated levels of this protein is linked to POEMS syndrome, also known as Crow-Fukase syndrome. Mutations in this gene have been associated with proliferative and nonproliferative diabetic retinopathy. Alternatively spliced transcript variants, encoding either freely secreted or cell-associated isoforms, have been characterized. There is also evidence for the use of non-AUG (CUG) translation initiation sites upstream of, and in-frame with the first AUG, leading to additional isoforms.

如果您使用该产品31274发表了文章,请通知我们,让我们可以引用您的文献。

et al,Artesunate Inhibits Proliferation and Invasion of Mouse Hemangioendothelioma Cells in vitro and of Tumor Growth in vivo.In Oncol Lett on 2017 Nov by Ning Wang , Hongxia Chen,et al..PMID: 29113263 , (2017),
PMID: 29113263
et al,Photoacoustic molecular imaging-escorted adipose photodynamic-browning synergy for fighting obesity with virus-like complexes. In Nat Nanotechnol on 2021 Apr by Ronghe Chen, Shanshan Huang,et al..PMID:33526836 , (2021),
PMID: 33526836
et al,Interleukin-17 and vascular endothelial growth factor: new biomarkers for the diagnosis of papillary thyroid carcinoma in patients with Hashimoto’s thyroiditis. In J Int Med Res on 2022 Jan by Shuiping Li, Shilin Li,et al..PMID: 35023376 , (2022),
PMID: 35023376
et al,3D printed PGCL@PLA/10CSPL composite scaffolds loaded with fibronectin 1 for intervertebral disc degeneration treatment, In Biofabrication on 2024 Dec 13 by Weilin Zhang, Siyuan Chen,et al..PMID:39668784 , (2024),
PMID: 39668784

注释

应用

  • WB免疫印迹
  • IHC免疫组化
  • IF免疫荧光
  • ICC免疫细胞化学
  • FC流式细胞
  • IP免疫沉淀
  • E酶联免疫吸附法
  • DB免疫斑点法
  • ChIP染色质免疫沉淀
  • GICA胶体金免疫层析法
  • NC阴性对照

种属反应性

  • Hu
  • Ms小鼠
  • Rt大鼠
  • Dm果蝇
  • C线虫
  • Mk
  • Rb
  • B
  • D
  • P
  • Hm仓鼠
  • ChHm中国仓鼠
  • Chk
;

联系我们

Location :

南京市高新开发区星火路10号人才大厦C座

Phone :

400-9961-933
025-58868422

Email Address

info@sabbiotech.com