免费电话:400-9961-933
邮箱:info@sabbiotech.com
欢迎光临本站
川博智能体 English
位置: 首页 > 多克隆抗体 > NIT2 Antibody

NIT2 Antibody#31280

是否有货: 有货
产品详情

产品名称NIT2 Antibody

来源种属Rabbit

克隆性Polyclonal

应用ELISA WB IHC

种属反应性Human;Mouse

特异性The antibody detects endogenous level of total NIT2 protein.

免疫原类型Peptide

免疫原描述Synthetic peptide corresponding to a region derived from 264-276 amino acids of Human itrilase family, member 2

基因/蛋白名称NIT2

标记Unconjugated

别名Itrilase family, member 2

数据库入口号Genbank No.: NP_064587

Uniprot NP_064587

浓度0.4mg/ml

配方Supplied at 1.4mg/mL in phosphate buffered saline (without Mg2+ and Ca2+), pH 7.3, 0.05% sodium azide and 50% glycerol.

保存Store at -20˚C/1 year

应用详情
Predicted MW: 31kd
ELISA: 1:2000-1:10000
Western blotting: 1:1000-1:5000
Immunohistochemistry: 1:50-1:200
Gel: 10%SDS-PAGE
Lane1: Mouse liver tissue lysate
Lane2: Mouse kidney tissue lysate
Lane3: RAW264.7 cell lysate
Lysates: 40 ug per lane
Primary antibody: 1/950 dilution
Secondary antibody: Goat anti Rabbit IgG - H&L (HRP) at 1/10000 dilution
Exposure time: 90 seconds seconds
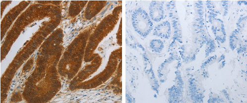
The image on the left is immunohistochemistry of paraffin-embedded human colon cancer tissue using 31280 (NIT2 Antibody) at dilution 1/40, on the right is treated with the synthetic peptide.
Has a omega-amidase activity. The role of omega-amidase is to remove potentially toxic intermediates by converting alpha-ketoglutaramate and alpha-ketosuccinamate to biologically useful alpha-ketoglutarate and oxaloacetate, respectively. Overexpression decreases the colony-forming capacity of cultured cells by arresting cells in the G2 phase of the cell cycle.

如果您使用该产品31280发表了文章,请通知我们,让我们可以引用您的文献。

et al, Downregulation of NIT2 inhibits colon cancer cell proliferation and induces cell cycle arrest through the caspase-3 and PARP pathways.In Int J Mol Med on 2015 May by Bo'an Zheng , Rui Chai et al..PMID:25738796 , (2015),
PMID: 25738796

注释

应用

  • WB免疫印迹
  • IHC免疫组化
  • IF免疫荧光
  • ICC免疫细胞化学
  • FC流式细胞
  • IP免疫沉淀
  • E酶联免疫吸附法
  • DB免疫斑点法
  • ChIP染色质免疫沉淀
  • GICA胶体金免疫层析法
  • NC阴性对照

种属反应性

  • Hu
  • Ms小鼠
  • Rt大鼠
  • Dm果蝇
  • C线虫
  • Mk
  • Rb
  • B
  • D
  • P
  • Hm仓鼠
  • ChHm中国仓鼠
  • Chk
;

联系我们

Location :

南京市高新开发区星火路10号人才大厦C座

Phone :

400-9961-933
025-58868422

Email Address

info@sabbiotech.com